
Figure 1. Western blot analysis of Histone H1.0/H1F0 using anti-Histone H1.0/H1F0 antibody (A08821-1). Electrophoresis was performed on a 5-20% SDS-PAGE gel at 70V (Stacking gel) / 90V (Resolving gel) for 2-3 hours. The sample well of each lane was loaded with 30 ug of sample under reducing conditions. Lane 1: human U20S whole cell lysates, Lane 2: human PC-3 whole cell lysates, Lane 3: human Caco-2 whole cell lysates, Lane 4: human HepG2 whole cell lysates, Lane 5: rat PC-12 whole cell lysates, Lane 6: mouse RAW264.7 whole cell lysates. After electrophoresis, proteins were transferred to a nitrocellulose membrane at 150 mA for 50-90 minutes. Blocked the membrane with 5% non-fat milk/TBS for 1.5 hour at RT. The membrane was incubated with rabbit anti-Histone H1.0/H1F0 antigen affinity purified polyclonal antibody (Catalog # A08821-1) at 0.5 microg/mL overnight at 4°C, then washed with TBS-0.1%Tween 3 times with 5 minutes each and probed with a goat anti-rabbit IgG-HRP secondary antibody at a dilution of 1:5000 for 1.5 hour at RT. The signal is developed using an Enhanced Chemiluminescent detection (ECL) kit (Catalog # EK1002) with Tanon 5200 system. A specific band was detected for Histone H1.0/H1F0 at approximately 24 kDa. The expected band size for Histone H1.0/H1F0 is at 21 kDa.
Anti-Histone H1.0/H1F0 Antibody Picoband(r)
A08821-1-CARRIER-FREE
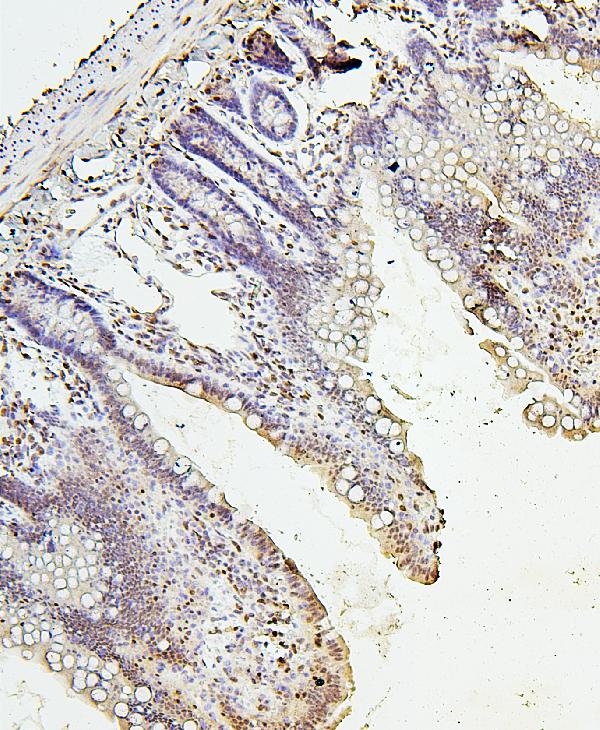
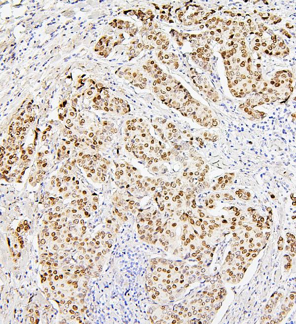
ApplicationsFlow Cytometry, ImmunoFluorescence, Western Blot, ELISA, ImmunoCytoChemistry, ImmunoHistoChemistry
Product group Antibodies
ReactivityHuman, Mouse, Rat
TargetH1-0
Overview
- SupplierBoster Bio
- Product NameAnti-Histone H1.0/H1F0 Antibody Picoband(r)
- Delivery Days Customer9
- ApplicationsFlow Cytometry, ImmunoFluorescence, Western Blot, ELISA, ImmunoCytoChemistry, ImmunoHistoChemistry
- CertificationResearch Use Only
- ClonalityPolyclonal
- Concentration500 ug/ml
- Gene ID3005
- Target nameH1-0
- Target descriptionH1.0 linker histone
- Target synonymsH1.0, H10, H1F0, H1FV, histone H1.0, H1 histone family member 0, H1.0, H1(0), H1-0, histone H1', histone H1(0)
- HostRabbit
- IsotypeIgG
- Protein IDP07305
- Protein NameHistone H1.0
- Scientific DescriptionBoster Bio Anti-Histone H1.0/H1F0 Antibody Picoband® catalog # A08821-1. Tested in ELISA, Flow Cytometry, IF, IHC, ICC, WB applications. This antibody reacts with Human, Mouse, Rat. The brand Picoband indicates this is a premium antibody that guarantees superior quality, high affinity, and strong signals with minimal background in Western blot applications. Only our best-performing antibodies are designated as Picoband, ensuring unmatched performance.
- ReactivityHuman, Mouse, Rat
- Storage Instruction-20°C,2°C to 8°C
- UNSPSC12352203














