
Figure 1. Western blot analysis of DDR1 using anti-DDR1 antibody (A00905). Electrophoresis was performed on a 5-20% SDS-PAGE gel at 70V (Stacking gel) / 90V (Resolving gel) for 2-3 hours. The sample well of each lane was loaded with 50ug of sample under reducing conditions. Lane 1: human placenta tissue lysates, Lane 2: human A549 whole cell lysates, Lane 3: human K562 whole cell lysates, Lane 4: human HepG2 whole cell lysates, Lane 5: human PC-3 whole cell lysates, Lane 6: human THP-1 whole cell lysates. After Electrophoresis, proteins were transferred to a Nitrocellulose membrane at 150mA for 50-90 minutes. Blocked the membrane with 5% Non-fat Milk/ TBS for 1.5 hour at RT. The membrane was incubated with rabbit anti-DDR1 antigen affinity purified polyclonal antibody (Catalog # A00905) at 0.5 microg/mL overnight at 4°C, then washed with TBS-0.1%Tween 3 times with 5 minutes each and probed with a goat anti-rabbit IgG-HRP secondary antibody at a dilution of 1:10000 for 1.5 hour at RT. The signal is developed using an Enhanced Chemiluminescent detection (ECL) kit (Catalog # EK1002) with Tanon 5200 system. A specific band was detected for DDR1 at approximately 101KD. The expected band size for DDR1 is at 101KD.
Anti-MCK10/NEP/DDR1 Antibody Picoband(r)
A00905-CARRIER-FREE
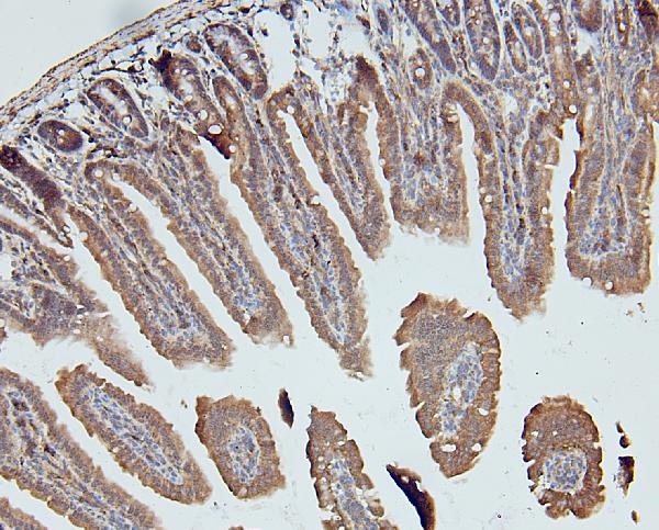
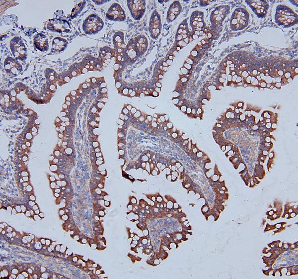
ApplicationsFlow Cytometry, ImmunoFluorescence, Western Blot, ELISA, ImmunoCytoChemistry, ImmunoHistoChemistry
Product group Antibodies
ReactivityHuman, Mouse, Rat
TargetDDR1
Overview
- SupplierBoster Bio
- Product NameAnti-MCK10/NEP/DDR1 Antibody Picoband(r)
- Delivery Days Customer9
- Application Supplier NoteTested Species: In-house tested species with positive results. By Heat: Boiling the paraffin sections in 10mM citrate buffer, pH6.0, for 20mins is required for the staining of formalin/paraffin sections. Other applications have not been tested. Optimal dilutions should be determined by end users.
- ApplicationsFlow Cytometry, ImmunoFluorescence, Western Blot, ELISA, ImmunoCytoChemistry, ImmunoHistoChemistry
- CertificationResearch Use Only
- ClonalityPolyclonal
- Concentration500 ug/ml
- Gene ID780
- Target nameDDR1
- Target descriptiondiscoidin domain receptor tyrosine kinase 1
- Target synonymsCAK, CD167, DDR, EDDR1, HGK2, MCK10, NEP, NTRK4, PTK3, PTK3A, RTK6, TRKE, epithelial discoidin domain-containing receptor 1, CD167 antigen-like family member A, PTK3A protein tyrosine kinase 3A, cell adhesion kinase, mammary carcinoma kinase 10, neuroepithelial tyrosine kinase, neurotrophic tyrosine kinase, receptor, type 4, protein-tyrosine kinase RTK-6, tyrosine kinase DDR, tyrosine-protein kinase CAK
- HostRabbit
- IsotypeIgG
- Protein IDQ08345
- Protein NameEpithelial discoidin domain-containing receptor 1
- Scientific DescriptionBoster Bio Anti-MCK10/NEP/DDR1 Antibody Picoband® catalog # A00905. Tested in ELISA, Flow Cytometry, IF, IHC, ICC, WB applications. This antibody reacts with Human, Mouse, Rat. The brand Picoband indicates this is a premium antibody that guarantees superior quality, high affinity, and strong signals with minimal background in Western blot applications. Only our best-performing antibodies are designated as Picoband, ensuring unmatched performance.
- ReactivityHuman, Mouse, Rat
- Storage Instruction-20°C,2°C to 8°C
- UNSPSC12352203














