
Immunofluorescent staining of human cell line A-431 shows localization to nucleoplasm & cytosol.
Anti-NR3C1 Antibody
HPA004248
ApplicationsWestern Blot, ImmunoCytoChemistry
Product group Antibodies
ReactivityHuman
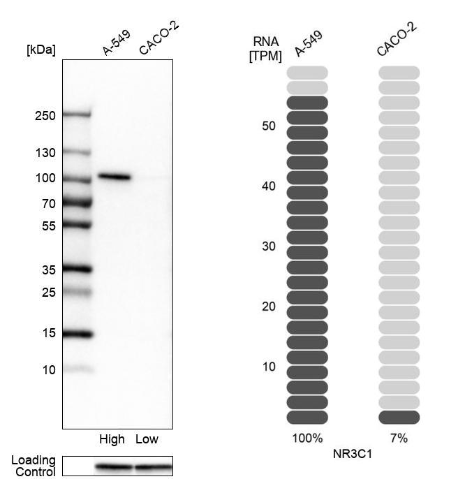
TargetNR3C1
Overview
- SupplierAtlas Antibodies
- Product NameAnti-NR3C1 Antibody
- Delivery Days Customer4
- ApplicationsWestern Blot, ImmunoCytoChemistry
- CertificationResearch Use Only
- ClonalityPolyclonal
- ConjugateUnconjugated
- Gene ID2908
- Target nameNR3C1
- Target descriptionnuclear receptor subfamily 3 group C member 1
- Target synonymsGCCR, GCR, GCRST, GR, GRL, glucocorticoid receptor, nuclear receptor subfamily 3 group C member 1 variant hGR-B(54), nuclear receptor subfamily 3 group C member 1 variant hGR-B(77), nuclear receptor subfamily 3 group C member 1 variant hGR-B(93), nuclear receptor subfamily 3, group C, member 1 (glucocorticoid receptor)
- HostRabbit
- IsotypeIgG
- Protein IDP04150
- Protein NameGlucocorticoid receptor
- Scientific DescriptionRecombinant Protein Epitope Signature Tag (PrEST) antigen sequence
- ReactivityHuman
- Storage Instruction-20°C,2°C to 8°C
- UNSPSC41116161






