
Anti-PACAP Antibody
A88543
ApplicationsImmunoFluorescence, Western Blot, ImmunoCytoChemistry, ImmunoHistoChemistry
Product group Antibodies
ReactivityHuman, Mouse, Rat
Overview
- SupplierAntibodies.com
- Product NameAnti-PACAP Antibody
- Delivery Days Customer7
- ApplicationsImmunoFluorescence, Western Blot, ImmunoCytoChemistry, ImmunoHistoChemistry
- CertificationResearch Use Only
- ClonalityPolyclonal
- ConjugateUnconjugated
- HostRabbit
- IsotypeIgG
- Scientific DescriptionRabbit polyclonal antibody to PACAP.
- ReactivityHuman, Mouse, Rat
- UNSPSC12352203







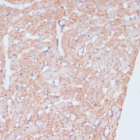
![PACAP antibody [N1C3] detects PACAP protein at cytoplasm by immunohistochemical analysis. Sample: Paraffin-embedded rat brain. PACAP stained by PACAP antibody [N1C3] (GTX106794) diluted at 1:200. Antigen Retrieval: Citrate buffer, pH 6.0, 15 min](https://www.genetex.com/upload/website/prouct_img/normal/GTX106794/GTX106794_44713_20220722_IHC-P_R_22081423_405.webp)