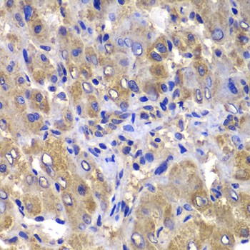
Immunohistochemistry of paraffin-embedded Human liver damage using CARD10 Polyclonal Antibody at dilution of 1:100 (40x lens).
CARD10 Polyclonal Antibody
E-AB-61673
Product group Antibodies
Overview
- SupplierElabscience
- Product NameCARD10 Polyclonal Antibody
- Delivery Days Customer12
- CertificationResearch Use Only
- Scientific DescriptionThe caspase recruitment domain (CARD) is a protein module that consists of 6 or 7 antiparallel alpha helices. It participates in apoptosis signaling through highly specific protein-protein homophilic interactions. Like several other CARD proteins, CARD10 belongs to the membrane-associated guanylate kinase (MAGUK) family and activates NF-kappa-B through BCL10.
- UNSPSC12352203




![Various whole cell extracts (30 μg) were separated by 7.5% SDS-PAGE, and the membrane was blotted with CARD10 antibody [N2C1], Internal (GTX111222) diluted at 1:1000. The HRP-conjugated anti-rabbit IgG antibody (GTX213110-01) was used to detect the primary antibody.](https://www.genetex.com/upload/website/prouct_img/normal/GTX111222/GTX111222_44636_20220401_WB_22100302_391.webp)
