
CTH antibody detects CTH protein at cytoplasm by immunohistochemical analysis. Sample: Paraffin-embedded mouse kidney. CTH stained by CTH antibody (GTX113409) diluted at 1:500. Antigen Retrieval: Citrate buffer, pH 6.0, 15 min
CTH antibody
GTX113409
ApplicationsWestern Blot, ImmunoHistoChemistry, ImmunoHistoChemistry Paraffin
Product group Antibodies
ReactivityHuman, Mouse, Rat
TargetCTH
Overview
- SupplierGeneTex
- Product NameCTH antibody
- Delivery Days Customer9
- Application Supplier NoteWB: 1:500-1:3000. IHC-P: 1:100-1:1000. *Optimal dilutions/concentrations should be determined by the researcher.Not tested in other applications.
- ApplicationsWestern Blot, ImmunoHistoChemistry, ImmunoHistoChemistry Paraffin
- CertificationResearch Use Only
- ClonalityPolyclonal
- Concentration1.02 mg/ml
- ConjugateUnconjugated
- Gene ID1491
- Target nameCTH
- Target descriptioncystathionine gamma-lyase
- Target synonymsCGL, CSE, cystathionine gamma-lyase, cystathionase (cystathionine gamma-lyase), cysteine desulfhydrase, cysteine-protein sulfhydrase, gamma-cystathionase, homocysteine desulfhydrase, homoserine deaminase, homoserine dehydratase
- HostRabbit
- IsotypeIgG
- Protein IDP32929
- Protein NameCystathionine gamma-lyase
- Scientific DescriptionThis gene encodes a cytoplasmic enzyme in the trans-sulfuration pathway that converts cystathione derived from methionine into cysteine. Glutathione synthesis in the liver is dependent upon the availability of cysteine. Mutations in this gene cause cystathioninuria. Alternative splicing of this gene results in two transcript variants encoding different isoforms. [provided by RefSeq]
- ReactivityHuman, Mouse, Rat
- Storage Instruction-20°C or -80°C,2°C to 8°C
- UNSPSC41116161











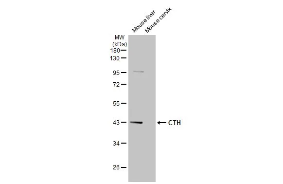
![Mouse tissue extract (50 μg) was separated by 10% SDS-PAGE, and the membrane was blotted with CTH antibody [GT1657] (GTX634460) diluted at 1:5000. The HRP-conjugated anti-mouse IgG antibody (GTX213111-01) was used to detect the primary antibody.](https://www.genetex.com/upload/website/prouct_img/normal/GTX634460/GTX634460_43094_20180119_WB_M_liver_w_23061202_974.webp)

