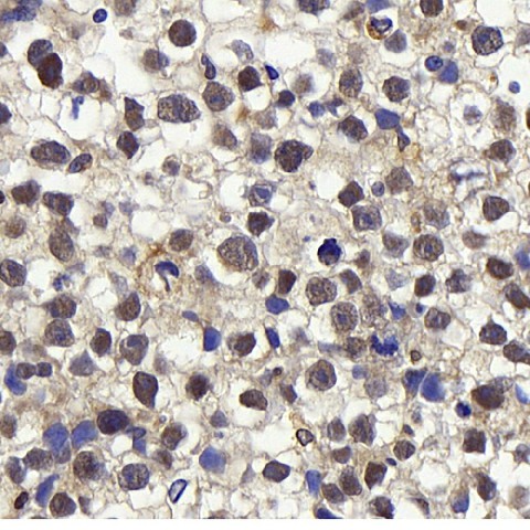
Immunohistochemistry analysis of paraffin-embedded human orchidoncus using Cyclin E1 Polyclonal Antibody at dilution of 1:400.
Cyclin E1 Polyclonal Antibody
E-AB-70166
Product group Antibodies
Overview
- SupplierElabscience
- Product NameCyclin E1 Polyclonal Antibody
- Delivery Days Customer12
- CertificationResearch Use Only
- Scientific DescriptionThe protein encoded by this gene belongs to the highly conserved cyclin family, whose members are characterized by a dramatic periodicity in protein abundance through the cell cycle. Cyclins function as regulators of CDK kinases. Different cyclins exhibit distinct expression and degradation patterns which contribute to the temporal coordination of each mitotic event. This cyclin forms a complex with and functions as a regulatory subunit of CDK2, whose activity is required for cell cycle G1/S transition. This protein accumulates at the G1-S phase boundary and is degraded as cells progress through S phase. Overexpression of this gene has been observed in many tumors, which results in chromosome instability, and thus may contribute to tumorigenesis. This protein was found to associate with, and be involved in, the phosphorylation of NPAT protein (nuclear protein mapped to the ATM locus), which participates in cell-cycle regulated histone gene expression and plays a critical role in promoting cell-cycle progression in the absence of pRB.
- UNSPSC12352203




![HepG2 cells were stained with Cyclin E1 (4H7) Monoclonal Antibody (bsm-52048R) at [1:200] incubated overnight at 4C, followed by secondary antibody incubation, DAPI staining of the nuclei and detection.](https://biossantibodies.com/image-raw/16228.jpeg)
