![Various whole cell extracts (30 μg) were separated by 10% SDS-PAGE, and the membrane was blotted with EED antibody [GT885] (GTX634650) diluted at 1:500. The HRP-conjugated anti-mouset IgG antibody (GTX213111-01) was used to detect the primary antibody. Various whole cell extracts (30 μg) were separated by 10% SDS-PAGE, and the membrane was blotted with EED antibody [GT885] (GTX634650) diluted at 1:500. The HRP-conjugated anti-mouset IgG antibody (GTX213111-01) was used to detect the primary antibody.](https://www.genetex.com/upload/website/prouct_img/normal/GTX634650/GTX634650_43346_20181012_WB_w_23061202_442.webp)
Various whole cell extracts (30 μg) were separated by 10% SDS-PAGE, and the membrane was blotted with EED antibody [GT885] (GTX634650) diluted at 1:500. The HRP-conjugated anti-mouset IgG antibody (GTX213111-01) was used to detect the primary antibody.
EED antibody [GT885]
GTX634650
ApplicationsImmunoFluorescence, Western Blot, ImmunoCytoChemistry, ImmunoHistoChemistry, ImmunoHistoChemistry Paraffin
Product group Antibodies
ReactivityHuman, Mouse, Rat
TargetEED
Overview
- SupplierGeneTex
- Product NameEED antibody [GT885]
- Delivery Days Customer9
- Application Supplier NoteWB: 1:500-1:3000. ICC/IF: 1:100-1:1000. IHC-P: 1:100-1:1000. *Optimal dilutions/concentrations should be determined by the researcher.Not tested in other applications.
- ApplicationsImmunoFluorescence, Western Blot, ImmunoCytoChemistry, ImmunoHistoChemistry, ImmunoHistoChemistry Paraffin
- CertificationResearch Use Only
- ClonalityMonoclonal
- Clone IDGT885
- Concentration1.54 mg/ml
- ConjugateUnconjugated
- Gene ID8726
- Target nameEED
- Target descriptionembryonic ectoderm development
- Target synonymsCOGIS, HEED, WAIT1, polycomb protein EED, WD protein associating with integrin cytoplasmic tails 1, embryonic ectoderm development protein
- HostMouse
- IsotypeIgG1
- Protein IDO75530
- Protein NamePolycomb protein EED
- Scientific DescriptionThis gene encodes a member of the Polycomb-group (PcG) family. PcG family members form multimeric protein complexes, which are involved in maintaining the transcriptional repressive state of genes over successive cell generations. This protein interacts with enhancer of zeste 2, the cytoplasmic tail of integrin beta7, immunodeficiency virus type 1 (HIV-1) MA protein, and histone deacetylase proteins. This protein mediates repression of gene activity through histone deacetylation, and may act as a specific regulator of integrin function. Two transcript variants encoding distinct isoforms have been identified for this gene. [provided by RefSeq, Jul 2008]
- ReactivityHuman, Mouse, Rat
- Storage Instruction-20°C or -80°C,2°C to 8°C
- UNSPSC41116161
![EED antibody [GT885] detects EED protein at nucleus by immunofluorescent analysis. Sample: HeLa cells were fixed in 4% paraformaldehyde at RT for 15 min. Green: EED stained by EED antibody [GT885] (GTX634650) diluted at 1:1000. Blue: Hoechst 33342 staining. EED antibody [GT885] detects EED protein at nucleus by immunofluorescent analysis. Sample: HeLa cells were fixed in 4% paraformaldehyde at RT for 15 min. Green: EED stained by EED antibody [GT885] (GTX634650) diluted at 1:1000. Blue: Hoechst 33342 staining.](https://www.genetex.com/upload/website/prouct_img/normal/GTX634650/GTX634650_43346_20190327_ICC_IF_w_23061202_183.webp)
![EED antibody [GT885] detects EED protein at cytoplasm and nucleus by immunohistochemical analysis. Sample: Paraffin-embedded rat endometrial carcinoma. EED stained by EED antibody [GT885] (GTX634650) diluted at 1:200. Antigen Retrieval: Citrate buffer, pH 6.0, 15 min EED antibody [GT885] detects EED protein at cytoplasm and nucleus by immunohistochemical analysis. Sample: Paraffin-embedded rat endometrial carcinoma. EED stained by EED antibody [GT885] (GTX634650) diluted at 1:200. Antigen Retrieval: Citrate buffer, pH 6.0, 15 min](https://www.genetex.com/upload/website/prouct_img/normal/GTX634650/GTX634650_43346_20181130_IHC-P_R_w_23061202_302.webp)
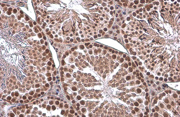
![EED antibody [GT885] detects EED protein at cytoplasm and nucleus by immunohistochemical analysis. Sample: Paraffin-embedded mouse testis. EED stained by EED antibody [GT885] (GTX634650) diluted at 1:200. Antigen Retrieval: Citrate buffer, pH 6.0, 15 min EED antibody [GT885] detects EED protein at cytoplasm and nucleus by immunohistochemical analysis. Sample: Paraffin-embedded mouse testis. EED stained by EED antibody [GT885] (GTX634650) diluted at 1:200. Antigen Retrieval: Citrate buffer, pH 6.0, 15 min](https://www.genetex.com/upload/website/prouct_img/normal/GTX634650/GTX634650_43346_20181130_IHC-P_M_w_23061202_914.webp)







