Western Blot analysis of 293T and K562 cell, Human fetal kidney tissue using F2R Polyclonal Antibody at dilution of 1:650
F2R Polyclonal Antibody
E-AB-15818
Product group Antibodies
Overview
- SupplierElabscience
- Product NameF2R Polyclonal Antibody
- Delivery Days Customer12
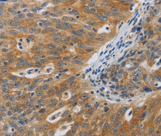
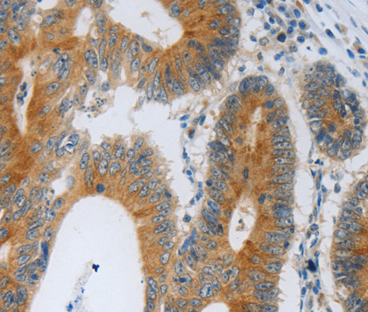
- Applications SupplierELISA WB IHC
- CertificationResearch Use Only
- Concentration0.3mg/ml
- Scientific DescriptionCoagulation factor II receptor is a 7-transmembrane receptor involved in the regulation of thrombotic response. Proteolytic cleavage leads to the activation of the receptor. F2R is a G-protein coupled receptor family member. High affinity receptor for activated thrombin coupled to G proteins that stimulate phosphoinositide hydrolysis. May play a role in platelets activation and in vascular development.
- UNSPSC12352203






