
Wild-type (WT) and KLF5 knockout (KO) HeLa cell extracts (30 μg) were separated by 10% SDS-PAGE, and the membrane was blotted with KLF5 antibody (GTX103289) diluted at 1:1000. The HRP-conjugated anti-rabbit IgG antibody (GTX213110-01) was used to detect the primary antibody.
KLF5 antibody
GTX103289
ApplicationsImmunoFluorescence, ImmunoPrecipitation, Western Blot, ImmunoCytoChemistry, ImmunoHistoChemistry, ImmunoHistoChemistry Frozen, ImmunoHistoChemistry Paraffin
Product group Antibodies
ReactivityHuman, Mouse, Rat
TargetKLF5
Overview
- SupplierGeneTex
- Product NameKLF5 antibody
- Delivery Days Customer9
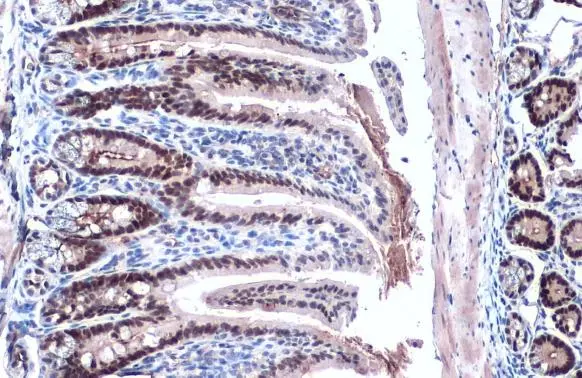
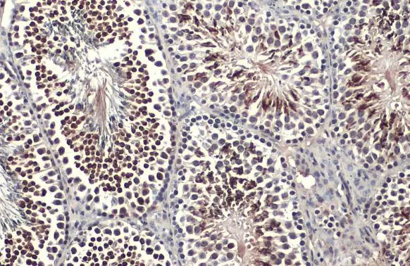
- Application Supplier NoteWB: 1:500-1:3000. ICC/IF: 1:100-1:1000. IHC-P: 1:100-1:1000. *Optimal dilutions/concentrations should be determined by the researcher.Not tested in other applications.
- ApplicationsImmunoFluorescence, ImmunoPrecipitation, Western Blot, ImmunoCytoChemistry, ImmunoHistoChemistry, ImmunoHistoChemistry Frozen, ImmunoHistoChemistry Paraffin
- CertificationResearch Use Only
- ClonalityPolyclonal
- Concentration0.5 mg/ml
- ConjugateUnconjugated
- Gene ID688
- Target nameKLF5
- Target descriptionKLF transcription factor 5
- Target synonymsBTEB2, CKLF, IKLF, Krueppel-like factor 5, (intestinal Kruppel-like factor, BTE-binding protein 2, GC box binding protein 2, Kruppel like factor 5, Kruppel-like factor 5 (intestinal), basic transcription element binding protein 2, colon krueppel-like factor, colon kruppel-like factor, epididymis secretory sperm binding protein, intestinal-enriched krueppel-like factor, intestinal-enriched kruppel-like factor, transcription factor BTEB2
- HostRabbit
- IsotypeIgG
- Protein IDQ13887
- Protein NameKrueppel-like factor 5
- Scientific DescriptionThis gene encodes a member of the Kruppel-like factor subfamily of zinc finger proteins. Since the protein localizes to the nucleus and binds the epidermal growth factor response element, it is thought to be a transcription factor. [provided by RefSeq]
- ReactivityHuman, Mouse, Rat
- Storage Instruction-20°C or -80°C,2°C to 8°C
- UNSPSC12352203
References
- Nagy A, Pethő D, Gesztelyi R, et al. BGP-15 Inhibits Hyperglycemia-Aggravated VSMC Calcification Induced by High Phosphate. Int J Mol Sci. 2021,22(17). doi: 10.3390/ijms22179263Read this paper
- Ma D, Pan Z, Chang Q, et al. KLF5-mediated Eppk1 expression promotes cell proliferation in cervical cancer via the p38 signaling pathway. BMC Cancer. 2021,21(1):377. doi: 10.1186/s12885-021-08040-yRead this paper
- Ma D, Liu X, Zhang JJ, et al. Vascular Smooth Muscle FTO Promotes Aortic Dissecting Aneurysms via m6A Modification of Klf5. Front Cardiovasc Med. 2020,7:592550. doi: 10.3389/fcvm.2020.592550Read this paper
- Ma D, Zheng B, Liu HL, et al. Klf5 down-regulation induces vascular senescence through eIF5a depletion and mitochondrial fission. PLoS Biol. 2020,18(8):e3000808. doi: 10.1371/journal.pbio.3000808Read this paper
- Sun Y, Li Y, Wang M, et al. Increased AT(2)R expression is induced by AT(1)R autoantibody via two axes, Klf-5/IRF-1 and circErbB4/miR-29a-5p, to promote VSMC migration. Cell Death Dis. 2020,11(6):432. doi: 10.1038/s41419-020-2643-5Read this paper
- Marrero-Rodríguez D, la Cruz HA, Taniguchi-Ponciano K, et al. Krüppel Like Factors Family Expression in Cervical Cancer Cells. Arch Med Res. 2017,48(4):314-322. doi: 10.1016/j.arcmed.2017.06.011Read this paper
- Ma D, Chang LY, Zhao S, et al. KLF5 promotes cervical cancer proliferation, migration and invasion in a manner partly dependent on TNFRSF11a expression. Sci Rep. 2017,7(1):15683. doi: 10.1038/s41598-017-15979-1Read this paper
- Miura S, Suzuki A. Generation of Mouse and Human Organoid-Forming Intestinal Progenitor Cells by Direct Lineage Reprogramming. Cell Stem Cell. 2017,21(4):456-471.e5. doi: 10.1016/j.stem.2017.08.020Read this paper
- Zhang ML, Zheng B, Tong F, et al. iNOS-derived peroxynitrite mediates high glucose-induced inflammatory gene expression in vascular smooth muscle cells through promoting KLF5 expression and nitration. Biochim Biophys Acta Mol Basis Dis. 2017,1863(11):2821-2834. doi: 10.1016/j.bbadis.2017.07.004Read this paper
- Jiang W, Zheng B, Zhang XH, et al. Tongxinluo inhibits neointimal formation by regulating the expression and post-translational modification of KLF5 in macrophages. Am J Transl Res. 2016,8(11):4778-4790.Read this paper


![KLF5 antibody detects KLF5 protein at nucleus by immunofluorescent analysis. Sample: HeLa cells were fixed in 4% paraformaldehyde at RT for 15 min. Green: KLF5 stained by KLF5 antibody (GTX103289) diluted at 1:500. Red: alpha Tubulin, a cytoskeleton marker, stained by alpha Tubulin antibody [GT114] (GTX628802) diluted at 1:1000. Blue: Fluoroshield with DAPI (GTX30920). KLF5 antibody detects KLF5 protein at nucleus by immunofluorescent analysis. Sample: HeLa cells were fixed in 4% paraformaldehyde at RT for 15 min. Green: KLF5 stained by KLF5 antibody (GTX103289) diluted at 1:500. Red: alpha Tubulin, a cytoskeleton marker, stained by alpha Tubulin antibody [GT114] (GTX628802) diluted at 1:1000. Blue: Fluoroshield with DAPI (GTX30920).](https://www.genetex.com/upload/website/prouct_img/normal/GTX103289/GTX103289_44286_20220121_ICC_IF_w_23060119_898.webp)













![Wild-type (WT) and KLF5 knockout (KO) HeLa cell extracts (30 μg) were separated by 10% SDS-PAGE, and the membrane was blotted with KLF5 antibody [HL2269] (GTX638321) diluted at 1:1000. The HRP-conjugated anti-rabbit IgG antibody (GTX213110-01) was used to detect the primary antibody.](https://www.genetex.com/upload/website/prouct_img/normal/GTX638321/GTX638321_T-44970_20230317_WB_KO_watermark_23032022_796.webp)