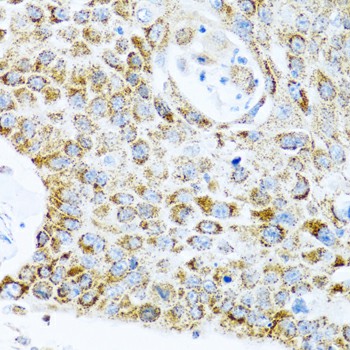
Immunohistochemistry of paraffin-embedded Human lung cancer using LRPPRC Polyclonal Antibody at dilution of 1:100 (40x lens).
LRPPRC Polyclonal Antibody
E-AB-62333
Product group Antibodies
Overview
- SupplierElabscience
- Product NameLRPPRC Polyclonal Antibody
- Delivery Days Customer12
- CertificationResearch Use Only
- Scientific DescriptionThis gene encodes a leucine-rich protein that has multiple pentatricopeptide repeats (PPR). The precise role of this protein is unknown but studies suggest it may play a role in cytoskeletal organization, vesicular transport, or in transcriptional regulation of both nuclear and mitochondrial genes. The protein localizes primarily to mitochondria and is predicted to have an N-terminal mitochondrial targeting sequence. Mutations in this gene are associated with the French-Canadian type of Leigh syndrome.
- UNSPSC12352203





![Various tissue extracts (50 μg) were separated by 5% SDS-PAGE, and the membrane was blotted with LRP130 antibody [N3C2], Internal (GTX109558) diluted at 1:1000. The HRP-conjugated anti-rabbit IgG antibody (GTX213110-01) was used to detect the primary antibody.](https://www.genetex.com/upload/website/prouct_img/normal/GTX109558/GTX109558_42606_20221209_WB_M_R_22121123_903.webp)
