
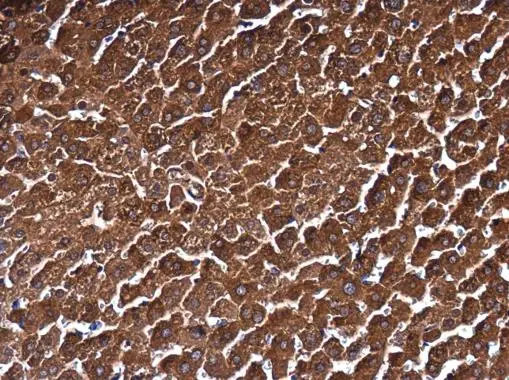
MAT1A + MAT2A antibody detects MAT1A + MAT2A protein at cytoplasm in rat liver by immunohistochemical analysis. Sample: Paraffin-embedded rat liver. MAT1A + MAT2A antibody (GTX132095) diluted at 1:500.
Antigen Retrieval: Citrate buffer, pH 6.0, 15 min
MAT1A + MAT2A antibody
GTX132095
ApplicationsWestern Blot, ImmunoHistoChemistry, ImmunoHistoChemistry Paraffin
Product group Antibodies
ReactivityHuman, Mouse, Rat
TargetMAT1A
Overview
- SupplierGeneTex
- Product NameMAT1A + MAT2A antibody
- Delivery Days Customer9
- Application Supplier NoteWB: 1:500-1:3000. IHC-P: 1:100-1:1000. *Optimal dilutions/concentrations should be determined by the researcher.Not tested in other applications.
- ApplicationsWestern Blot, ImmunoHistoChemistry, ImmunoHistoChemistry Paraffin
- CertificationResearch Use Only
- ClonalityPolyclonal
- Concentration0.08 mg/ml
- ConjugateUnconjugated
- Gene ID4143
- Target nameMAT1A
- Target descriptionmethionine adenosyltransferase 1A
- Target synonymsMAT, MATA1, SAMS, SAMS1, S-adenosylmethionine synthase isoform type-1, MAT 1, MAT-I/III, adoMet synthase 1, adoMet synthetase 1, methionine adenosyltransferase 1, methionine adenosyltransferase I, alpha, methionine adenosyltransferase I/III
- HostRabbit
- IsotypeIgG
- Protein IDQ00266
- Protein NameS-adenosylmethionine synthase isoform type-1
- Scientific DescriptionThis gene catalyzes a two-step reaction that involves the transfer of the adenosyl moiety of ATP to methionine to form S-adenosylmethionine and tripolyphosphate, which is subsequently cleaved to PPi and Pi. S-adenosylmethionine is the source of methyl groups for most biological methylations. The encoded protein is found as a homotetramer (MAT I) or a homodimer (MAT III) whereas a third form, MAT II (gamma), is encoded by the MAT2A gene. Mutations in this gene are associated with methionine adenosyltransferase deficiency. [provided by RefSeq]
- ReactivityHuman, Mouse, Rat
- Storage Instruction-20°C or -80°C,2°C to 8°C
- UNSPSC41116161












![Various tissue extracts (50 μg) were separated by 10% SDS-PAGE, and the membrane was blotted with MAT1A + MAT2A antibody [HL1679] (GTX637278) diluted at 1:1000. The HRP-conjugated anti-rabbit IgG antibody (GTX213110-01) was used to detect the primary antibody.](https://www.genetex.com/upload/website/prouct_img/normal/GTX637278/GTX637278_T-44760_20221104_WB_M_tissue_22110919_865.webp)