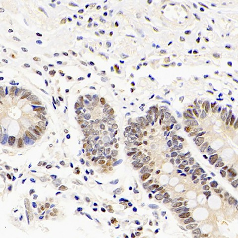
Immunohistochemistry analysis of paraffin-embedded human stomach using Mineralocorticoid receptor Polyclonal Antibody at dilution of 1:300.
Mineralocorticoid receptor Polyclonal Antibody
E-AB-70261
Product group Antibodies
Overview
- SupplierElabscience
- Product NameMineralocorticoid receptor Polyclonal Antibody
- Delivery Days Customer12
- CertificationResearch Use Only
- Scientific DescriptionThis gene encodes the mineralocorticoid receptor, which mediates aldosterone actions on salt and water balance within restricted target cells. The protein functions as a ligand-dependent transcription factor that binds to mineralocorticoid response elements in order to transactivate target genes. Mutations in this gene cause autosomal dominant pseudohypoaldosteronism type I, a disorder characterized by urinary salt wasting. Defects in this gene are also associated with early onset hypertension with severe exacerbation in pregnancy. Alternative splicing results in multiple transcript variants.
- UNSPSC12352203
![IHC-P analysis of human colon carcinoma tissue using GTX22774 Mineralocorticoid Receptor antibody [H10E4C9F]. Left : Primary antibody Right : Negative control without primary antibody Antigen retrieval : heat induced antigen retrieval was performed using 10mM sodium citrate (pH6.0) buffer, microwaved for 8-15 minutes Dilution : 1:100](https://www.genetex.com/upload/website/prouct_img/normal/GTX22774/GTX22774_1099_IHC-P_w_23060620_185.webp)





