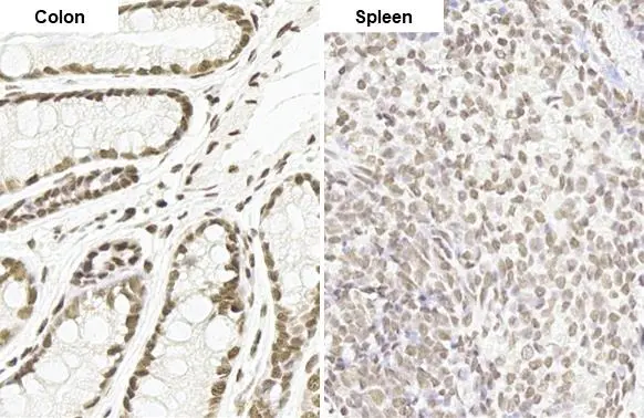
![MMP2 antibody [HL1207] detects MMP2 protein by immunohistochemical analysis. Sample: Paraffin-embedded mouse tissues. MMP2 stained by MMP2 antibody [HL1207] (GTX636524) diluted at 1:100. Antigen Retrieval: Citrate buffer, pH 6.0, 15 min MMP2 antibody [HL1207] detects MMP2 protein by immunohistochemical analysis. Sample: Paraffin-embedded mouse tissues. MMP2 stained by MMP2 antibody [HL1207] (GTX636524) diluted at 1:100. Antigen Retrieval: Citrate buffer, pH 6.0, 15 min](https://www.genetex.com/upload/website/prouct_img/normal/GTX636524/GTX636524_44522_20221227_IHC-P_multiple_M_22122821_107.webp)
MMP2 antibody [HL1207] detects MMP2 protein by immunohistochemical analysis. Sample: Paraffin-embedded mouse tissues. MMP2 stained by MMP2 antibody [HL1207] (GTX636524) diluted at 1:100. Antigen Retrieval: Citrate buffer, pH 6.0, 15 min
MMP2 antibody [HL1207]
GTX636524
ApplicationsWestern Blot, ImmunoHistoChemistry, ImmunoHistoChemistry Paraffin
Product group Antibodies
ReactivityHuman, Mouse
TargetMMP2
Overview
- SupplierGeneTex
- Product NameMMP2 antibody [HL1207]
- Delivery Days Customer9
- Application Supplier NoteWB: 1:500-1:3000. *Optimal dilutions/concentrations should be determined by the researcher.Not tested in other applications.
- ApplicationsWestern Blot, ImmunoHistoChemistry, ImmunoHistoChemistry Paraffin
- CertificationResearch Use Only
- ClonalityMonoclonal
- Clone IDHL1207
- Concentration1 mg/ml
- ConjugateUnconjugated
- Gene ID4313
- Target nameMMP2
- Target descriptionmatrix metallopeptidase 2
- Target synonymsCLG4, CLG4A, MMP-2, MMP-II, MONA, TBE-1, 72 kDa type IV collagenase, collagenase type IV-A, matrix metallopeptidase 2 (gelatinase A, 72kDa gelatinase, 72kDa type IV collagenase), matrix metalloproteinase-2, matrix metalloproteinase-II, neutrophil gelatinase
- HostRabbit
- IsotypeIgG
- Protein IDP08253
- Protein Name72 kDa type IV collagenase
- Scientific DescriptionThis gene is a member of the matrix metalloproteinase (MMP) gene family, that are zinc-dependent enzymes capable of cleaving components of the extracellular matrix and molecules involved in signal transduction. The protein encoded by this gene is a gelatinase A, type IV collagenase, that contains three fibronectin type II repeats in its catalytic site that allow binding of denatured type IV and V collagen and elastin. Unlike most MMP family members, activation of this protein can occur on the cell membrane. This enzyme can be activated extracellularly by proteases, or, intracellulary by its S-glutathiolation with no requirement for proteolytical removal of the pro-domain. This protein is thought to be involved in multiple pathways including roles in the nervous system, endometrial menstrual breakdown, regulation of vascularization, and metastasis. Mutations in this gene have been associated with Winchester syndrome and Nodulosis-Arthropathy-Osteolysis (NAO) syndrome. Alternative splicing results in multiple transcript variants encoding different isoforms. [provided by RefSeq, Oct 2014]
- ReactivityHuman, Mouse
- Storage Instruction-20°C or -80°C,2°C to 8°C
- UNSPSC12352203
![Mouse tissue extracts (50 μg) was separated by 7.5% SDS-PAGE, and the membrane was blotted with MMP2 antibody [HL1207] (GTX636524) diluted at 1:1000. The HRP-conjugated anti-rabbit IgG antibody (GTX213110-01) was used to detect the primary antibody, and the signal was developed with Trident ECL plus-Enhanced. Mouse tissue extracts (50 μg) was separated by 7.5% SDS-PAGE, and the membrane was blotted with MMP2 antibody [HL1207] (GTX636524) diluted at 1:1000. The HRP-conjugated anti-rabbit IgG antibody (GTX213110-01) was used to detect the primary antibody, and the signal was developed with Trident ECL plus-Enhanced.](https://www.genetex.com/upload/website/prouct_img/normal/GTX636524/GTX636524_44522_20220318_WB_M_skin_w_23061202_969.webp)
![U87-MG whole cell extract and conditioned medium (30 μg) were separated by 7.5% SDS-PAGE, and the membrane was blotted with MMP2 antibody [HL1207] (GTX636524) diluted at 1:1000. The HRP-conjugated anti-rabbit IgG antibody (GTX213110-01) was used to detect the primary antibody. U87-MG whole cell extract and conditioned medium (30 μg) were separated by 7.5% SDS-PAGE, and the membrane was blotted with MMP2 antibody [HL1207] (GTX636524) diluted at 1:1000. The HRP-conjugated anti-rabbit IgG antibody (GTX213110-01) was used to detect the primary antibody.](https://www.genetex.com/upload/website/prouct_img/normal/GTX636524/GTX636524_44522_20211210_WB_Fraction_w_23061202_297.webp)
![Non-transfected (–) and transfected (+) U87-MG whole cell extracts (50 μg) were separated by 7.5% SDS-PAGE, and the membrane was blotted with MMP2 antibody [HL1207] (GTX636524) diluted at 1:1000. The HRP-conjugated anti-rabbit IgG antibody (GTX213110-01) was used to detect the primary antibody, and the signal was developed with Trident ECL plus-Enhanced. Non-transfected (–) and transfected (+) U87-MG whole cell extracts (50 μg) were separated by 7.5% SDS-PAGE, and the membrane was blotted with MMP2 antibody [HL1207] (GTX636524) diluted at 1:1000. The HRP-conjugated anti-rabbit IgG antibody (GTX213110-01) was used to detect the primary antibody, and the signal was developed with Trident ECL plus-Enhanced.](https://www.genetex.com/upload/website/prouct_img/normal/GTX636524/GTX636524_44522_20220128_WB_shRNA_watermark_w_23061202_657.webp)





