![NFIX antibody [HL1269] detects NFIX protein at nucleus by immunofluorescent analysis. Sample: DIV10 rat E18 primary hippocampal neuron and glia cells were fixed in 4% paraformaldehyde at RT for 15 min. Green: NFIX stained by NFIX antibody [HL1269] (GTX636671) diluted at 1:250. Red: Tau, a cytoskeleton marker, stained by Tau antibody [GT287] (GTX634809) diluted at 1:500. NFIX antibody [HL1269] detects NFIX protein at nucleus by immunofluorescent analysis. Sample: DIV10 rat E18 primary hippocampal neuron and glia cells were fixed in 4% paraformaldehyde at RT for 15 min. Green: NFIX stained by NFIX antibody [HL1269] (GTX636671) diluted at 1:250. Red: Tau, a cytoskeleton marker, stained by Tau antibody [GT287] (GTX634809) diluted at 1:500.](https://www.genetex.com/upload/website/prouct_img/normal/GTX636671/GTX636671_44606_20200715_ICC_IF_22072519_520.webp)
NFIX antibody [HL1269] detects NFIX protein at nucleus by immunofluorescent analysis. Sample: DIV10 rat E18 primary hippocampal neuron and glia cells were fixed in 4% paraformaldehyde at RT for 15 min. Green: NFIX stained by NFIX antibody [HL1269] (GTX636671) diluted at 1:250. Red: Tau, a cytoskeleton marker, stained by Tau antibody [GT287] (GTX634809) diluted at 1:500.
NFIX antibody [HL1269]
GTX636671
ApplicationsImmunoFluorescence, ImmunoCytoChemistry, ImmunoHistoChemistry, ImmunoHistoChemistry Paraffin
Product group Antibodies
ReactivityHuman, Mouse, Rat
TargetNFIX
Overview
- SupplierGeneTex
- Product NameNFIX antibody [HL1269]
- Delivery Days Customer9
- Application Supplier NoteIHC-P: 1:100-1:1000. *Optimal dilutions/concentrations should be determined by the researcher.Not tested in other applications.
- ApplicationsImmunoFluorescence, ImmunoCytoChemistry, ImmunoHistoChemistry, ImmunoHistoChemistry Paraffin
- CertificationResearch Use Only
- ClonalityMonoclonal
- Clone IDHL1269
- Concentration1 mg/ml
- ConjugateUnconjugated
- Gene ID4784
- Target nameNFIX
- Target descriptionnuclear factor I X
- Target synonymsCTF, MALNS, MRSHSS, NF-I/X, NF1-X, NF1A, SOTOS2, nuclear factor 1 X-type, CCAAT-box-binding transcription factor, TGGCA-binding protein, nuclear factor 1/X
- HostRabbit
- IsotypeIgG
- Protein IDQ14938
- Protein NameNuclear factor 1 X-type
- Scientific DescriptionThe protein encoded by this gene is a transcription factor that binds the palindromic sequence 5-TTGGCNNNNNGCCAA-3 in viral and cellular promoters. The encoded protein can also stimulate adenovirus replication in vitro. Three transcript variants encoding different isoforms have been found for this gene. [provided by RefSeq, Aug 2012]
- ReactivityHuman, Mouse, Rat
- Storage Instruction-20°C or -80°C,2°C to 8°C
- UNSPSC41116161
![NFIX antibody [HL1269] detects NFIX protein by immunohistochemical analysis. Sample: Paraffin-embedded mouse tissue. NFIX stained by NFIX antibody [HL1269] (GTX636671) diluted at 1:100. Antigen Retrieval: Citrate buffer, pH 6.0, 15 min NFIX antibody [HL1269] detects NFIX protein by immunohistochemical analysis. Sample: Paraffin-embedded mouse tissue. NFIX stained by NFIX antibody [HL1269] (GTX636671) diluted at 1:100. Antigen Retrieval: Citrate buffer, pH 6.0, 15 min](https://www.genetex.com/upload/website/prouct_img/normal/GTX636671/GTX636671_T-44529_20221228_IHC-P_multiple_M_22122901_379.webp)
![NFIX antibody [HL1269] detects NFIX protein at nucleus by immunohistochemical analysis. Sample: Paraffin-embedded mouse brain. NFIX stained by NFIX antibody [HL1269] (GTX636671) diluted at 1:100. Antigen Retrieval: Citrate buffer, pH 6.0, 15 min NFIX antibody [HL1269] detects NFIX protein at nucleus by immunohistochemical analysis. Sample: Paraffin-embedded mouse brain. NFIX stained by NFIX antibody [HL1269] (GTX636671) diluted at 1:100. Antigen Retrieval: Citrate buffer, pH 6.0, 15 min](https://www.genetex.com/upload/website/prouct_img/normal/GTX636671/GTX636671_44606_20220325_IHC-P_M_w_23061202_190.webp)
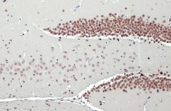
![NFIX antibody [HL1269] detects NFIX protein by immunohistochemical analysis. Sample: Paraffin-embedded mouse hippocampus. NFIX stained by NFIX antibody [HL1269] (GTX636671) diluted at 1:800. Antigen Retrieval: Citrate buffer, pH 6.0, 15 min NFIX antibody [HL1269] detects NFIX protein by immunohistochemical analysis. Sample: Paraffin-embedded mouse hippocampus. NFIX stained by NFIX antibody [HL1269] (GTX636671) diluted at 1:800. Antigen Retrieval: Citrate buffer, pH 6.0, 15 min](https://www.genetex.com/upload/website/prouct_img/normal/GTX636671/GTX636671_45551_20250327_IHC-P_M_2_25042420_760.webp)
![NFIX antibody [HL1269] detects NFIX protein by immunohistochemical analysis. Sample: Paraffin-embedded mouse hippocampus. NFIX stained by NFIX antibody [HL1269] (GTX636671) diluted at 1:800. Antigen Retrieval: Citrate buffer, pH 6.0, 15 min NFIX antibody [HL1269] detects NFIX protein by immunohistochemical analysis. Sample: Paraffin-embedded mouse hippocampus. NFIX stained by NFIX antibody [HL1269] (GTX636671) diluted at 1:800. Antigen Retrieval: Citrate buffer, pH 6.0, 15 min](https://www.genetex.com/upload/website/prouct_img/normal/GTX636671/GTX636671_45551_20250327_IHC-P_M_1_25042420_653.webp)
![NFIX antibody [HL1269] detects NFIX protein by immunohistochemical analysis. Sample: Paraffin-embedded mouse brain. NFIX stained by NFIX antibody [HL1269] (GTX636671) diluted at 1:800. Antigen Retrieval: Citrate buffer, pH 6.0, 15 min NFIX antibody [HL1269] detects NFIX protein by immunohistochemical analysis. Sample: Paraffin-embedded mouse brain. NFIX stained by NFIX antibody [HL1269] (GTX636671) diluted at 1:800. Antigen Retrieval: Citrate buffer, pH 6.0, 15 min](https://www.genetex.com/upload/website/prouct_img/normal/GTX636671/GTX636671_45551_20250327_IHC-P_M_3_25042420_427.webp)




![IHC-P analysis of human anal canal squamous cell carcinoma (SCC) tissue using GTX640561 NFIX antibody [HMV329] HistoMAX?. Squamous cell carcinoma with strong nuclear NFIX staining of tumor cells.](https://www.genetex.com/upload/website/prouct_img/normal/GTX640561/GTX640561_20240702_IHC-P_2_24070119_695.webp)
![NFIX antibody [N3C3] detects NFIX protein at nucleus by immunohistochemical analysis. Sample: Paraffin-embedded mouse hippocampus. NFIX stained by NFIX antibody [N3C3] (GTX117233) diluted at 1:500. Antigen Retrieval: Citrate buffer, pH 6.0, 15 min](https://www.genetex.com/upload/website/prouct_img/normal/GTX117233/GTX117233_44909_20230217_IHC-P_M_23021401_605.webp)
![Whole cell extract (30 μg) was separated by 10% SDS-PAGE, and the membrane was blotted with NFIX antibody [N2C2], Internal (GTX118630) diluted at 1:10000. The HRP-conjugated anti-rabbit IgG antibody (GTX213110-01) was used to detect the primary antibody.](https://www.genetex.com/upload/website/prouct_img/normal/GTX118630/GTX118630_44174_20210122_WB_w_23060519_865.webp)

