![Whole cell extract (30 μg) was separated by 10% SDS-PAGE, and the membrane was blotted with NFIX antibody [N2C2], Internal (GTX118630) diluted at 1:10000. The HRP-conjugated anti-rabbit IgG antibody (GTX213110-01) was used to detect the primary antibody. Whole cell extract (30 μg) was separated by 10% SDS-PAGE, and the membrane was blotted with NFIX antibody [N2C2], Internal (GTX118630) diluted at 1:10000. The HRP-conjugated anti-rabbit IgG antibody (GTX213110-01) was used to detect the primary antibody.](https://www.genetex.com/upload/website/prouct_img/normal/GTX118630/GTX118630_44174_20210122_WB_w_23060519_865.webp)
Whole cell extract (30 μg) was separated by 10% SDS-PAGE, and the membrane was blotted with NFIX antibody [N2C2], Internal (GTX118630) diluted at 1:10000. The HRP-conjugated anti-rabbit IgG antibody (GTX213110-01) was used to detect the primary antibody.
NFIX antibody [N2C2], Internal
GTX118630
ApplicationsImmunoFluorescence, Western Blot, ImmunoCytoChemistry, ImmunoHistoChemistry, ImmunoHistoChemistry Paraffin
Product group Antibodies
ReactivityHuman, Mouse, Rat
TargetNFIX
Overview
- SupplierGeneTex
- Product NameNFIX antibody [N2C2], Internal
- Delivery Days Customer9
- Application Supplier NoteWB: 1:500-1:3000. IHC-P: 1:100-1:1000. *Optimal dilutions/concentrations should be determined by the researcher.Not tested in other applications.
- ApplicationsImmunoFluorescence, Western Blot, ImmunoCytoChemistry, ImmunoHistoChemistry, ImmunoHistoChemistry Paraffin
- CertificationResearch Use Only
- ClonalityPolyclonal
- Concentration0.31 mg/ml
- ConjugateUnconjugated
- Gene ID4784
- Target nameNFIX
- Target descriptionnuclear factor I X
- Target synonymsCTF, MALNS, MRSHSS, NF-I/X, NF1-X, NF1A, SOTOS2, nuclear factor 1 X-type, CCAAT-box-binding transcription factor, TGGCA-binding protein, nuclear factor 1/X
- HostRabbit
- IsotypeIgG
- Protein IDQ14938
- Protein NameNuclear factor 1 X-type
- Scientific DescriptionRecognizes and binds the palindromic sequence 5-TTGGCNNNNNGCCAA-3 present in viral and cellular promoters and in the origin of replication of adenovirus type 2. These proteins are individually capable of activating transcription and replication.
- ReactivityHuman, Mouse, Rat
- Storage Instruction-20°C or -80°C,2°C to 8°C
- UNSPSC41116161
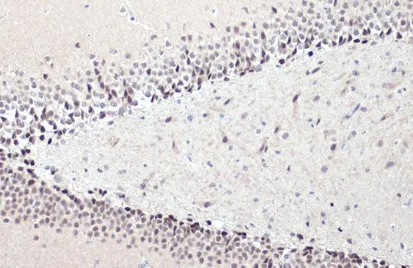
![NFIX antibody [N2C2], Internal detects NFIX protein at nucleus by immunohistochemical analysis. Sample: Paraffin-embedded rat hippocampus. NFIX stained by NFIX antibody [N2C2], Internal (GTX118630) diluted at 1:2000. Antigen Retrieval: Citrate buffer, pH 6.0, 15 min NFIX antibody [N2C2], Internal detects NFIX protein at nucleus by immunohistochemical analysis. Sample: Paraffin-embedded rat hippocampus. NFIX stained by NFIX antibody [N2C2], Internal (GTX118630) diluted at 1:2000. Antigen Retrieval: Citrate buffer, pH 6.0, 15 min](https://www.genetex.com/upload/website/prouct_img/normal/GTX118630/GTX118630_44174_20210226_IHC-P_R_w_23060519_411.webp)
![NFIX antibody [N2C2], Internal detects NFIX protein by immunofluorescent analysis. Sample: DIV9 rat hippocampal neuron cells were fixed in 4% paraformaldehyde at RT for 15 min. Green: NFIX stained by NFIX antibody [N2C2], Internal (GTX118630) diluted at 1:500. Red: Tau, an axon marker, stained by Tau antibody [GT287] (GTX634809) diluted at 1:500. Blue: Fluoroshield with DAPI (GTX30920). NFIX antibody [N2C2], Internal detects NFIX protein by immunofluorescent analysis. Sample: DIV9 rat hippocampal neuron cells were fixed in 4% paraformaldehyde at RT for 15 min. Green: NFIX stained by NFIX antibody [N2C2], Internal (GTX118630) diluted at 1:500. Red: Tau, an axon marker, stained by Tau antibody [GT287] (GTX634809) diluted at 1:500. Blue: Fluoroshield with DAPI (GTX30920).](https://www.genetex.com/upload/website/prouct_img/normal/GTX118630/GTX118630_44174_20211008_ICC_IF_R_w_23060519_791.webp)
![NFIX antibody [N2C2], Internal detects NFIX protein at nucleus by immunohistochemical analysis. Sample: Paraffin-embedded mouse hippocampus. NFIX stained by NFIX antibody [N2C2], Internal (GTX118630) diluted at 1:2000. Antigen Retrieval: Citrate buffer, pH 6.0, 15 min NFIX antibody [N2C2], Internal detects NFIX protein at nucleus by immunohistochemical analysis. Sample: Paraffin-embedded mouse hippocampus. NFIX stained by NFIX antibody [N2C2], Internal (GTX118630) diluted at 1:2000. Antigen Retrieval: Citrate buffer, pH 6.0, 15 min](https://www.genetex.com/upload/website/prouct_img/normal/GTX118630/GTX118630_44174_20210226_IHC-P_M_w_23060519_196.webp)




![IHC-P analysis of human anal canal squamous cell carcinoma (SCC) tissue using GTX640561 NFIX antibody [HMV329] HistoMAX?. Squamous cell carcinoma with strong nuclear NFIX staining of tumor cells.](https://www.genetex.com/upload/website/prouct_img/normal/GTX640561/GTX640561_20240702_IHC-P_2_24070119_695.webp)
![NFIX antibody [N3C3] detects NFIX protein at nucleus by immunohistochemical analysis. Sample: Paraffin-embedded mouse hippocampus. NFIX stained by NFIX antibody [N3C3] (GTX117233) diluted at 1:500. Antigen Retrieval: Citrate buffer, pH 6.0, 15 min](https://www.genetex.com/upload/website/prouct_img/normal/GTX117233/GTX117233_44909_20230217_IHC-P_M_23021401_605.webp)
![NFIX antibody [HL1269] detects NFIX protein at nucleus by immunofluorescent analysis. Sample: DIV10 rat E18 primary hippocampal neuron and glia cells were fixed in 4% paraformaldehyde at RT for 15 min. Green: NFIX stained by NFIX antibody [HL1269] (GTX636671) diluted at 1:250. Red: Tau, a cytoskeleton marker, stained by Tau antibody [GT287] (GTX634809) diluted at 1:500.](https://www.genetex.com/upload/website/prouct_img/normal/GTX636671/GTX636671_44606_20200715_ICC_IF_22072519_520.webp)

