
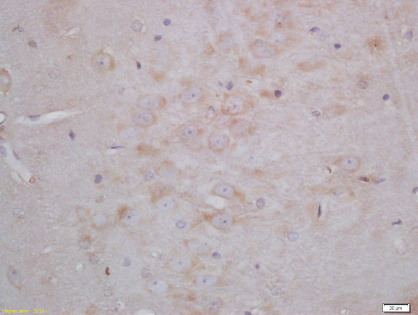
Positive sample:Paraformaldehyde-fixed, paraffin embedded (rat brian, left); Negative sample:Paraformaldehyde-fixed, paraffin embedded (rat liver, right); Antigen retrieval by boiling in sodium citrate buffer (pH6.0) for 15min; Block endogenous peroxidase by 3% hydrogen peroxide for 20 minutes; Blocking buffer (NG/Neurogranin) at 37°C for 30min; Antibody incubation with (HDAC4) Polyclonal Antibody, Unconjugated (bs-11435R) at 1:200 overnight at 4°C, followed by secondary antibody and DAB staining.
Neurogranin Polyclonal Antibody
BS-11435R
ApplicationsImmunoFluorescence, Western Blot, ELISA, ImmunoCytoChemistry, ImmunoHistoChemistry, ImmunoHistoChemistry Frozen, ImmunoHistoChemistry Paraffin
Product group Antibodies
ReactivityBovine, Canine, Equine, Human, Mouse, Porcine, Rabbit, Rat
TargetNRGN
Overview
- SupplierBioss
- Product NameNeurogranin Polyclonal Antibody
- Delivery Days Customer16
- ApplicationsImmunoFluorescence, Western Blot, ELISA, ImmunoCytoChemistry, ImmunoHistoChemistry, ImmunoHistoChemistry Frozen, ImmunoHistoChemistry Paraffin
- Applications SupplierWB(1:300-5000), ELISA(1:500-1000), IHC-P(1:200-400), IHC-F(1:100-500), IF(IHC-P)(1:50-200), IF(IHC-F)(1:50-200), IF(ICC)(1:50-200)
- CertificationResearch Use Only
- ClonalityPolyclonal
- Concentration1 ug/ul
- ConjugateUnconjugated
- Gene ID4900
- Target nameNRGN
- Target descriptionneurogranin
- Target synonymsRC3, hng, neurogranin, calmodulin-binding protein, neurogranin (protein kinase C substrate, RC3), protein kinase C substrate
- HostRabbit
- IsotypeIgG
- Protein IDQ92686
- Protein NameNeurogranin
- ReactivityBovine, Canine, Equine, Human, Mouse, Porcine, Rabbit, Rat
- Storage Instruction-20°C
- UNSPSC41116161








![Neurogranin antibody detects Neurogranin protein by immunofluorescent analysis. Sample: DIV9 rat E18 primary hippocampal neuron cells were fixed in 4% paraformaldehyde at RT for 15 min. Green: Neurogranin stained by Neurogranin antibody (GTX134048) diluted at 1:500. Red: beta Tubulin 3/ Tuj1, stained by beta Tubulin 3/ Tuj1 antibody [GT11710] (GTX631836) diluted at 1:500. Blue: Fluoroshield with DAPI (GTX30920).](https://www.genetex.com/upload/website/prouct_img/normal/GTX134048/GTX134048_43075_20180613_ICC_IF_R_w_23060620_398.webp)