
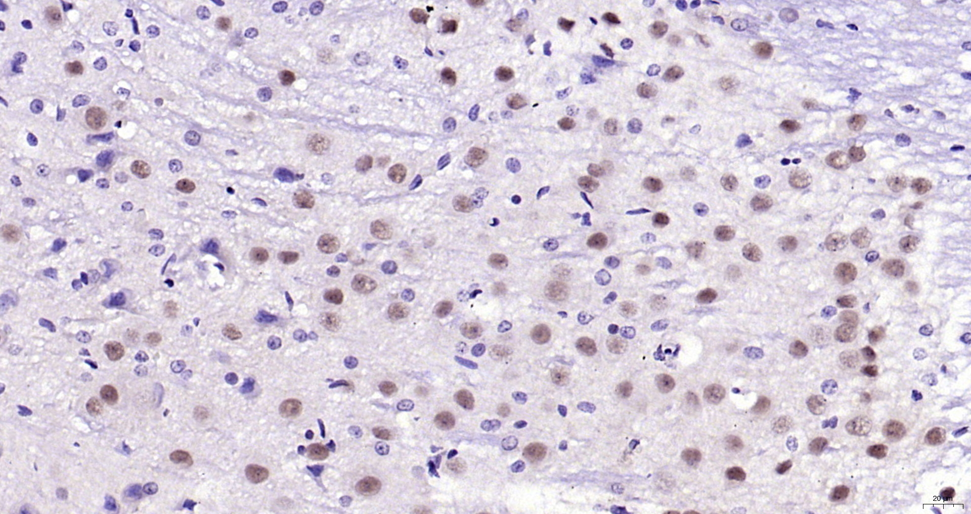
Paraformaldehyde-fixed, paraffin embedded (rat brain); Antigen retrieval by boiling in sodium citrate buffer (pH6.0) for 15min; Block endogenous peroxidase by 3% hydrogen peroxide for 20 minutes; Blocking buffer (normal goat serum) at 37°C for 30min; Antibody incubation with (Nova1) Polyclonal Antibody, Unconjugated (bs-11324R) at 1:200 overnight at 4°C, followed by operating according to SP Kit(Rabbit) (sp-0023) instructionsand DAB staining.
NOVA1 Polyclonal Antibody
BS-11324R
ApplicationsImmunoFluorescence, Western Blot, ELISA, ImmunoCytoChemistry, ImmunoHistoChemistry, ImmunoHistoChemistry Frozen, ImmunoHistoChemistry Paraffin
Product group Antibodies
ReactivityBovine, Chicken, Human, Mouse, Rat
TargetNOVA1
Overview
- SupplierBioss
- Product NameNOVA1 Polyclonal Antibody
- Delivery Days Customer16
- ApplicationsImmunoFluorescence, Western Blot, ELISA, ImmunoCytoChemistry, ImmunoHistoChemistry, ImmunoHistoChemistry Frozen, ImmunoHistoChemistry Paraffin
- Applications SupplierWB(1:300-5000), ELISA(1:500-1000), IHC-P(1:200-400), IHC-F(1:100-500), IF(IHC-P)(1:50-200), IF(IHC-F)(1:50-200), IF(ICC)(1:50-200)
- CertificationResearch Use Only
- ClonalityPolyclonal
- Concentration1 ug/ul
- ConjugateUnconjugated
- Gene ID4857
- Target nameNOVA1
- Target descriptionNOVA alternative splicing regulator 1
- Target synonymsNova-1, RNA-binding protein Nova-1, neuro-oncological ventral antigen 1, onconeural ventral antigen 1, paraneoplastic Ri antigen, ventral neuron-specific protein 1
- HostRabbit
- IsotypeIgG
- Protein IDP51513
- Protein NameRNA-binding protein Nova-1
- ReactivityBovine, Chicken, Human, Mouse, Rat
- Storage Instruction-20°C
- UNSPSC41116161







