
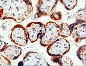
Staining is restricted to the syncytiotrophoblast of the chorionic villi in frozen human placenta tissue, stained with GTX60974.
PAPP A antibody [9]
GTX60974
ApplicationsWestern Blot, ELISA, ImmunoHistoChemistry, ImmunoHistoChemistry Frozen, ImmunoHistoChemistry Paraffin
Product group Antibodies
ReactivityHuman
TargetPAPPA
Overview
- SupplierGeneTex
- Product NamePAPP A antibody [9]
- Delivery Days Customer9
- ApplicationsWestern Blot, ELISA, ImmunoHistoChemistry, ImmunoHistoChemistry Frozen, ImmunoHistoChemistry Paraffin
- CertificationResearch Use Only
- ClonalityMonoclonal
- Clone ID9
- ConjugateUnconjugated
- Gene ID5069
- Target namePAPPA
- Target descriptionpappalysin 1
- Target synonymsASBABP2, DIPLA1, IGFBP-4ase, PAPA, PAPP-A, PAPPA1, pappalysin-1, IGF-dependent IGFBP-4 protease, aspecific BCL2 ARE-binding protein 2, differentially placenta 1 expressed protein, insulin-like growth factor-dependent IGF binding protein-4 protease, pregnancy-associated plasma protein A, pappalysin 1
- HostMouse
- IsotypeIgG2b
- Protein IDQ13219
- Protein NamePappalysin-1
- Scientific DescriptionThis gene encodes a secreted metalloproteinase which cleaves insulin-like growth factor binding proteins (IGFBPs). Following IGFBP cleavage, insulin growth factors dissociate from IGFBPs and bind to IGF receptors, resulting in activation of the IGF pathway. The encoded protein plays a role in bone formation, inflammation, wound healing and female fertility. Enhanced expression of this protein is associated with diabetic nephropathy in human patients and this protein may promote tumor invasion and growth in various human cancers. [provided by RefSeq, Aug 2017]
- ReactivityHuman
- Storage Instruction2°C to 8°C
- UNSPSC12352203




![Calibration curve for PAPP-A sandwich immunoassay. Capture: PAPP A antibody [4G11] (GTX10192) biotinylated; Detection: PAPP A antibody [3C8] (GTX10194) labeled with stable Eu3+ -chelate; Antigen: htPAPP-A; Mixture of antibodies and antigen was incubated for 30 minutes at room temperature in streptavidin-coated plates.](https://www.genetex.com/upload/website/prouct_img/normal/GTX10194/PAPP-A-antibody-3C8_ELISA_GTX10194-1_w_23060100_874.webp)
![Calibration curve for PAPP-A sandwich immunoassay. Capture: PAPP A antibody [4G11] (GTX10192) biotinylated; Detection: PAPP A antibody [10H9] (GTX10195) labeled with stable Eu3+ -chelate; Antigen: htPAPP-A; Mixture of antibodies and antigen was incubated for 30 minutes at room temperature in streptavidin-coated plates.](https://www.genetex.com/upload/website/prouct_img/normal/GTX10195/PAPP-A-antibody-10H9_ELISA_GTX10195-1_w_23060100_599.webp)