![FACS analysis of HeLa cells using GTX83688 RPA32 antibody [8B3]. Red : Primary antibody Blue : Negative control antibody FACS analysis of HeLa cells using GTX83688 RPA32 antibody [8B3]. Red : Primary antibody Blue : Negative control antibody](https://www.genetex.com/upload/website/prouct_img/normal/GTX83688/GTX83688_118_FACS_w_23061420_151.webp)
FACS analysis of HeLa cells using GTX83688 RPA32 antibody [8B3]. Red : Primary antibody Blue : Negative control antibody
RPA32 antibody [8B3]
GTX83688
ApplicationsFlow Cytometry, ImmunoFluorescence, ImmunoPrecipitation, Western Blot, ImmunoCytoChemistry, ImmunoHistoChemistry, ImmunoHistoChemistry Paraffin
Product group Antibodies
ReactivityHuman
TargetRPA2
Overview
- SupplierGeneTex
- Product NameRPA32 antibody [8B3]
- Delivery Days Customer9
- Application Supplier NoteWB: 1:2000. ICC/IF: 1:50-1:100. IHC-P: 1:50. FACS: 1:100. IP: 2ug/500ul. *Optimal dilutions/concentrations should be determined by the researcher.Not tested in other applications.
- ApplicationsFlow Cytometry, ImmunoFluorescence, ImmunoPrecipitation, Western Blot, ImmunoCytoChemistry, ImmunoHistoChemistry, ImmunoHistoChemistry Paraffin
- CertificationResearch Use Only
- ClonalityMonoclonal
- Clone ID8B3
- Concentration0.6 mg/ml
- ConjugateUnconjugated
- Gene ID6118
- Target nameRPA2
- Target descriptionreplication protein A2
- Target synonymsREPA2, RP-A p32, RP-A p34, RPA32, replication protein A 32 kDa subunit, RF-A protein 2, replication factor A protein 2, replication protein A 34 kDa subunit
- HostMouse
- IsotypeIgG1
- Protein IDP15927
- Protein NameReplication protein A 32 kDa subunit
- Scientific DescriptionRequired for DNA recombination, repair and replication. The activity of RP-A is mediated by single-stranded DNA binding and protein interactions. Functions as component of the alternative replication protein A complex (aRPA). aRPA binds single-stranded DNA and probably plays a role in DNA repair - it does not support chromosomal DNA replication and cell cycle progression through S-phase. In vitro, aRPA cannot promote efficient priming by DNA polymerase alpha but supports DNA polymerase delta synthesis in the presence of PCNA and replication factor C (RFC), the dual incision/excision reaction of nucleotide excision repair and RAD51-dependent strand exchange.
- ReactivityHuman
- Storage Instruction-20°C or -80°C,2°C to 8°C
- UNSPSC12352203
![FACS analysis of Jurkat cells using GTX83688 RPA32 antibody [8B3]. Red : Primary antibody Blue : Negative control antibody FACS analysis of Jurkat cells using GTX83688 RPA32 antibody [8B3]. Red : Primary antibody Blue : Negative control antibody](https://www.genetex.com/upload/website/prouct_img/normal/GTX83688/GTX83688_119_FACS_w_23061420_501.webp)
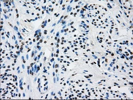
![IHC-P analysis of human ovary adenocarcinoma tissue using GTX83688 RPA32 antibody [8B3]. Antigen retrieval : Heat-induced epitope retrieval by 10mM citrate buffer, pH6.0, 100oC for 10min. IHC-P analysis of human ovary adenocarcinoma tissue using GTX83688 RPA32 antibody [8B3]. Antigen retrieval : Heat-induced epitope retrieval by 10mM citrate buffer, pH6.0, 100oC for 10min.](https://www.genetex.com/upload/website/prouct_img/normal/GTX83688/GTX83688_1704_IHC-P_w_23061420_672.webp)
![IHC-P analysis of human bladder tissue using GTX83688 RPA32 antibody [8B3]. Antigen retrieval : Heat-induced epitope retrieval by 10mM citrate buffer, pH6.0, 100oC for 10min. IHC-P analysis of human bladder tissue using GTX83688 RPA32 antibody [8B3]. Antigen retrieval : Heat-induced epitope retrieval by 10mM citrate buffer, pH6.0, 100oC for 10min.](https://www.genetex.com/upload/website/prouct_img/normal/GTX83688/GTX83688_1705_IHC-P_w_23061420_936.webp)
![IHC-P analysis of human breast tissue using GTX83688 RPA32 antibody [8B3]. Antigen retrieval : Heat-induced epitope retrieval by 10mM citrate buffer, pH6.0, 100oC for 10min. IHC-P analysis of human breast tissue using GTX83688 RPA32 antibody [8B3]. Antigen retrieval : Heat-induced epitope retrieval by 10mM citrate buffer, pH6.0, 100oC for 10min.](https://www.genetex.com/upload/website/prouct_img/normal/GTX83688/GTX83688_1706_IHC-P_w_23061420_847.webp)
![IHC-P analysis of human colon tissue using GTX83688 RPA32 antibody [8B3]. Antigen retrieval : Heat-induced epitope retrieval by 10mM citrate buffer, pH6.0, 100oC for 10min. IHC-P analysis of human colon tissue using GTX83688 RPA32 antibody [8B3]. Antigen retrieval : Heat-induced epitope retrieval by 10mM citrate buffer, pH6.0, 100oC for 10min.](https://www.genetex.com/upload/website/prouct_img/normal/GTX83688/GTX83688_1707_IHC-P_w_23061420_235.webp)
![IHC-P analysis of human endometrium tissue using GTX83688 RPA32 antibody [8B3]. Antigen retrieval : Heat-induced epitope retrieval by 10mM citrate buffer, pH6.0, 100oC for 10min. IHC-P analysis of human endometrium tissue using GTX83688 RPA32 antibody [8B3]. Antigen retrieval : Heat-induced epitope retrieval by 10mM citrate buffer, pH6.0, 100oC for 10min.](https://www.genetex.com/upload/website/prouct_img/normal/GTX83688/GTX83688_1708_IHC-P_w_23061420_605.webp)
![IHC-P analysis of human kidney tissue using GTX83688 RPA32 antibody [8B3]. Antigen retrieval : Heat-induced epitope retrieval by 10mM citrate buffer, pH6.0, 100oC for 10min. IHC-P analysis of human kidney tissue using GTX83688 RPA32 antibody [8B3]. Antigen retrieval : Heat-induced epitope retrieval by 10mM citrate buffer, pH6.0, 100oC for 10min.](https://www.genetex.com/upload/website/prouct_img/normal/GTX83688/GTX83688_1709_IHC-P_w_23061420_535.webp)
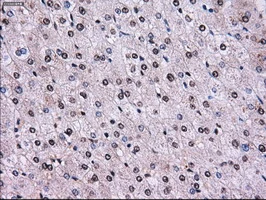
![IHC-P analysis of human liver tissue using GTX83688 RPA32 antibody [8B3]. Antigen retrieval : Heat-induced epitope retrieval by 10mM citrate buffer, pH6.0, 100oC for 10min. IHC-P analysis of human liver tissue using GTX83688 RPA32 antibody [8B3]. Antigen retrieval : Heat-induced epitope retrieval by 10mM citrate buffer, pH6.0, 100oC for 10min.](https://www.genetex.com/upload/website/prouct_img/normal/GTX83688/GTX83688_1710_IHC-P_w_23061420_887.webp)
![IHC-P analysis of human ovary tissue using GTX83688 RPA32 antibody [8B3]. Antigen retrieval : Heat-induced epitope retrieval by 10mM citrate buffer, pH6.0, 100oC for 10min. IHC-P analysis of human ovary tissue using GTX83688 RPA32 antibody [8B3]. Antigen retrieval : Heat-induced epitope retrieval by 10mM citrate buffer, pH6.0, 100oC for 10min.](https://www.genetex.com/upload/website/prouct_img/normal/GTX83688/GTX83688_1711_IHC-P_w_23061420_865.webp)



![FACS analysis of HeLa cells using GTX83691 RPA32 antibody [1H10]. Red : Primary antibody Blue : Negative control antibody](https://www.genetex.com/upload/website/prouct_img/normal/GTX83691/GTX83691_120_FACS_w_23061420_588.webp)
![FACS analysis of HeLa cells using GTX83695 RPA32 antibody [7C12]. Red : Primary antibody Blue : Negative control antibody](https://www.genetex.com/upload/website/prouct_img/normal/GTX83695/GTX83695_123_FACS_w_23061420_911.webp)
![IHC-P analysis of human breast carcinoma tissue using GTX15783 RPA32 antibody [MA34]. Left : Primary antibody Right : Negative control without primary antibody Antigen retrieval : heat induced antigen retrieval was performed using 10mM sodium citrate (pH6.0) buffer, microwaved for 8-15 minutes Dilution : 1:20](https://www.genetex.com/upload/website/prouct_img/normal/GTX15783/GTX15783_1041_IHC-P_w_23060620_950.webp)