
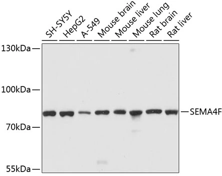
WB analysis of various sample lysates using GTX65618 SEMA4F antibody. Dilution : 1:1000 Loading : 25microg per lane
SEMA4F antibody
GTX65618
ApplicationsWestern Blot, ImmunoHistoChemistry, ImmunoHistoChemistry Paraffin
Product group Antibodies
ReactivityHuman, Mouse, Rat
TargetSEMA4F
Overview
- SupplierGeneTex
- Product NameSEMA4F antibody
- Delivery Days Customer9
- Application Supplier NoteWB: 1:500 - 1:2000. IHC-P: 1:50 - 1:200. *Optimal dilutions/concentrations should be determined by the researcher.Not tested in other applications.
- ApplicationsWestern Blot, ImmunoHistoChemistry, ImmunoHistoChemistry Paraffin
- CertificationResearch Use Only
- ClonalityPolyclonal
- ConjugateUnconjugated
- Gene ID10505
- Target nameSEMA4F
- Target descriptionssemaphorin 4F
- Target synonymsM-SEMA, PRO2353, S4F, SEMAM, SEMAW, m-Sema-M, semaphorin-4F, sema domain immunoglobulin domain transmembrane domain (TM) and short cytoplasmic domain (semaphorin) 4F, sema domain, immunoglobulin domain (Ig), transmembrane domain (TM) and short cytoplasmic domain, (semaphorin) 4F, semaphorin M, semaphorin-W
- HostRabbit
- IsotypeIgG
- Protein IDO95754
- Protein NameSemaphorin-4F
- Scientific DescriptionThis gene encodes a transmembrane class IV semaphorin family protein, which plays a role in neural development. This gene may be involved in neurogenesis in prostate cancer, the development of neurofibromas, and breast cancer tumorigenesis. Alternative splicing results in multiple transcript variants. [provided by RefSeq, Nov 2012]
- ReactivityHuman, Mouse, Rat
- Storage Instruction-20°C or -80°C,2°C to 8°C
- UNSPSC12352203








