
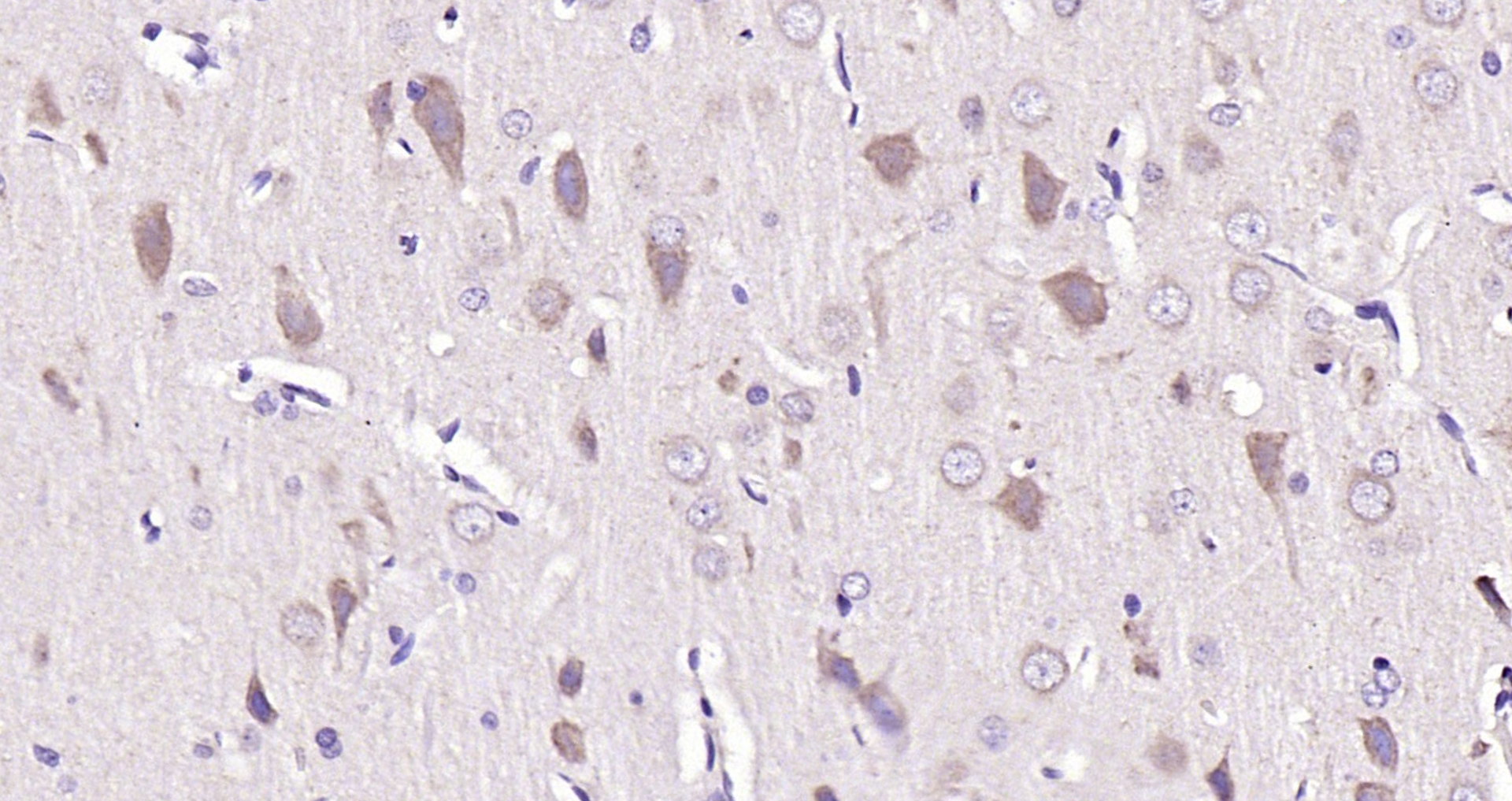
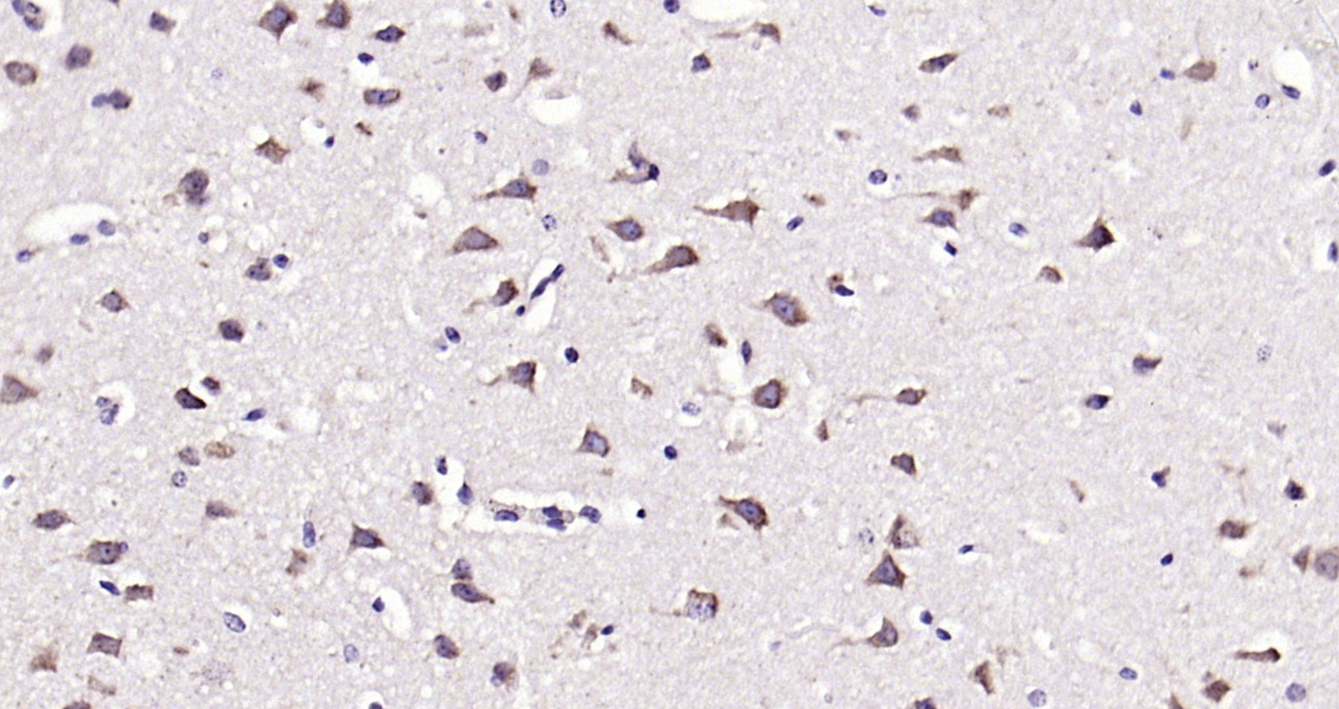
Paraformaldehyde-fixed, paraffin embedded mouse brain; Antigen retrieval by boiling in sodium citrate buffer (pH6) for 15min; Block endogenous peroxidase by 3% hydrogen peroxide for 30 minutes; Blocking buffer (normal goat serum) at 37°C for 20min; Antibody incubation with SFRP1 Polyclonal Antibody, Unconjugated (bs-1303R) at 1:200 overnight at 4°C, followed by a conjugated secondary and DAB staining.
SFRP1 Polyclonal Antibody
BS-1303R
ApplicationsImmunoFluorescence, Western Blot, ELISA, ImmunoCytoChemistry, ImmunoHistoChemistry, ImmunoHistoChemistry Frozen, ImmunoHistoChemistry Paraffin
Product group Antibodies
ReactivityHuman, Mouse, Rat
TargetSFRP1
Overview
- SupplierBioss
- Product NameSFRP1 Polyclonal Antibody
- Delivery Days Customer16
- ApplicationsImmunoFluorescence, Western Blot, ELISA, ImmunoCytoChemistry, ImmunoHistoChemistry, ImmunoHistoChemistry Frozen, ImmunoHistoChemistry Paraffin
- Applications SupplierWB(1:300-5000), ELISA(1:500-1000), IHC-P(1:200-400), IHC-F(1:100-500), IF(IHC-P)(1:50-200), IF(IHC-F)(1:50-200), IF(ICC)(1:50-200)
- CertificationResearch Use Only
- ClonalityPolyclonal
- Concentration1 ug/ul
- ConjugateUnconjugated
- Gene ID6422
- Target nameSFRP1
- Target descriptionsecreted frizzled related protein 1
- Target synonymsFRP, FRP-1, FRP1, FrzA, SARP2, secreted frizzled-related protein 1, SARP-2, frizzled-related protein, sFRP-1, secreted apoptosis-related protein 2
- HostRabbit
- IsotypeIgG
- Protein IDQ8N474
- Protein NameSecreted frizzled-related protein 1
- ReactivityHuman, Mouse, Rat
- Storage Instruction-20°C
- UNSPSC41116161










