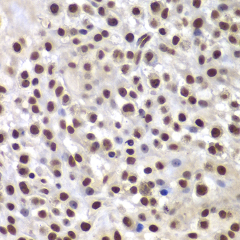
Immunohistochemistry of paraffin-embedded Mouse osteosarcoma using SMARCB1 Polyclonal Antibody at dilution of 1:200 (40x lens).
SMARCB1 Polyclonal Antibody
E-AB-61106
Product group Antibodies
Overview
- SupplierElabscience
- Product NameSMARCB1 Polyclonal Antibody
- Delivery Days Customer12
- CertificationResearch Use Only
- Scientific DescriptionThe protein encoded by this gene is part of a complex that relieves repressive chromatin structures, allowing the transcriptional machinery to access its targets more effectively. The encoded nuclear protein may also bind to and enhance the DNA joining activity of HIV-1 integrase. This gene has been found to be a tumor suppressor, and mutations in it have been associated with malignant rhabdoid tumors. Alternatively spliced transcript variants have been found for this gene.
- UNSPSC12352203
![IHC-P analysis of human colon carcinoma tissue using GTX04623 SNF5 antibody [ARC53139]. Antigen retrieval : 10 mM Tris/EDTA buffer pH 9.0 Dilution : 1:100](https://www.genetex.com/upload/website/prouct_img/normal/GTX04623/GTX04623_20231129_IHC-P_1_23112819_358.webp)






