
SOX2 antibody detects SOX2 protein at nucleus by immunofluorescent analysis. Sample: U-87 MG cells were fixed in 4% paraformaldehyde at RT for 15 min. Red: SOX2 protein stained by SOX2 antibody (GTX627405) diluted at 1:200. Green: beta Tubulin 3/ TUJ1 protein stained by beta Tubulin 3/ TUJ1 antibody (GTX631836) diluted at 1:200.
SOX2 antibody [GT1352]
GTX627405
ApplicationsFlow Cytometry, ImmunoFluorescence, Western Blot, ImmunoCytoChemistry, ImmunoHistoChemistry, ImmunoHistoChemistry Frozen, ImmunoHistoChemistry Paraffin
Product group Antibodies
ReactivityHuman, Mouse
TargetSOX2
Overview
- SupplierGeneTex
- Product NameSOX2 antibody [GT1352]
- Delivery Days Customer9
- Application Supplier NoteWB: 1:500-1:3000. ICC/IF: 1:100-1:1000. IHC-P: 1:100-1:1000. IHC-Fr: 1:100-1:1000. FACS: 1:50-1:200. *Optimal dilutions/concentrations should be determined by the researcher.Not tested in other applications.
- ApplicationsFlow Cytometry, ImmunoFluorescence, Western Blot, ImmunoCytoChemistry, ImmunoHistoChemistry, ImmunoHistoChemistry Frozen, ImmunoHistoChemistry Paraffin
- CertificationResearch Use Only
- ClonalityMonoclonal
- Clone IDGT1352
- Concentration1 mg/ml
- ConjugateUnconjugated
- Gene ID6657
- Target nameSOX2
- Target descriptionSRY-box transcription factor 2
- Target synonymsANOP3, MCOPS3, transcription factor SOX-2, SRY (sex determining region Y)-box 2, SRY-box 2, SRY-related HMG-box gene 2, sex determining region Y-box 2, transcription factor SOX2
- HostMouse
- IsotypeIgG2a
- Protein IDP48431
- Protein NameTranscription factor SOX-2
- Scientific DescriptionThis intronless gene encodes a member of the SRY-related HMG-box (SOX) family of transcription factors involved in the regulation of embryonic development and in the determination of cell fate. The product of this gene is required for stem-cell maintenance in the central nervous system, and also regulates gene expression in the stomach. Mutations in this gene have been associated with optic nerve hypoplasia and with syndromic microphthalmia, a severe form of structural eye malformation. This gene lies within an intron of another gene called SOX2 overlapping transcript (SOX2OT). [provided by RefSeq]
- ReactivityHuman, Mouse
- Storage Instruction-20°C or -80°C,2°C to 8°C
- UNSPSC12352203
References
- Kitagawa T, Kobayashi D, Baron B, et al. AT-hook DNA-binding motif-containing protein one knockdown downregulates EWS-FLI1 transcriptional activity in Ewing's sarcoma cells. PLoS One. 2022,17(10):e0269077. doi: 10.1371/journal.pone.0269077Read this paper
- Kim SH, Fan PW, Hsieh CH, et al. The aqueous extract of brucea javanica reduces tumorigenicity of human lung cancer tumorspheres. Cancer Drug Resist. 2021,4(4):866-880. doi: 10.20517/cdr.2021.58Read this paper
- Skałbania J, Pałasz A, Błaszczyk I, et al. Chlorpromazine affects the numbers of Sox-2, Musashi1 and DCX-expressing cells in the rat brain subventricular zone. Pharmacol Rep. 2021,73(4):1164-1169. doi: 10.1007/s43440-021-00259-7Read this paper
- Ramírez-Rentería C, Espinosa-De-Los-Monteros AL, Etual EC, et al. From ACTH-Dependent to ACTH-Independent Cushing's Syndrome from a Malignant Mixed Corticomedullary Adrenal Tumor: Potential Role of Embryonic Stem Cells. Case Rep Endocrinol. 2020,2020:4768281. doi: 10.1155/2020/4768281Read this paper
- Ooizumi Y, Kojima K, Igarashi K, et al. Comprehensive Exploration to Identify Predictive DNA Markers of ΔNp63/SOX2 in Drug Resistance in Human Esophageal Squamous Cell Carcinoma. Ann Surg Oncol. 2019,26(13):4814-4825. doi: 10.1245/s10434-019-07795-wRead this paper
- Yang SC, Liu JJ, Wang CK, et al. Down-regulation of ATF1 leads to early neuroectoderm differentiation of human embryonic stem cells by increasing the expression level of SOX2. FASEB J. 2019,33(9):10577-10592. doi: 10.1096/fj.201800220RRRead this paper
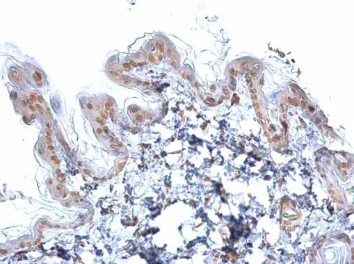
![SOX2 antibody [GT1352] detects SOX2 protein at nucleus on by immunohistochemical analysis. Sample: Paraffin-embedded mouse skin. SOX2 antibody [GT1352] (GTX627405) dilution: 1:500.
Antigen Retrieval: Trilogy? (EDTA based, pH 8.0) buffer, 15min SOX2 antibody [GT1352] detects SOX2 protein at nucleus on by immunohistochemical analysis. Sample: Paraffin-embedded mouse skin. SOX2 antibody [GT1352] (GTX627405) dilution: 1:500.
Antigen Retrieval: Trilogy? (EDTA based, pH 8.0) buffer, 15min](https://www.genetex.com/upload/website/prouct_img/normal/GTX627405/GTX627405_40851_20141024_IHC_M_w_23061202_330.webp)
![SOX2 antibody [GT1352] detects SOX2 protein by western blot analysis. A. 30 μg human ESC whole cell lysate/extract 10% SDS-PAGE SOX2 antibody [GT1352] (GTX627405) dilution: 1:1000 The HRP-conjugated anti-mouse IgG antibody (GTX213111-01) was used to detect the primary antibody. SOX2 antibody [GT1352] detects SOX2 protein by western blot analysis. A. 30 μg human ESC whole cell lysate/extract 10% SDS-PAGE SOX2 antibody [GT1352] (GTX627405) dilution: 1:1000 The HRP-conjugated anti-mouse IgG antibody (GTX213111-01) was used to detect the primary antibody.](https://www.genetex.com/upload/website/prouct_img/normal/GTX627405/GTX627405_40851_WB_hESC_w_23061202_578.webp)
![Sox2 antibodies detects Sox2 proteins on embryonic mouse brain by immunohistochemical analysis. Sample: Frozen section of embryonic mouse brain (mE18.5). Green: GFAP antibody (GTX108711) diluted at 1:1000. Red: Sox2 antibody [GT1352] (GTX627405) diluted at 1:250. Sox2 antibodies detects Sox2 proteins on embryonic mouse brain by immunohistochemical analysis. Sample: Frozen section of embryonic mouse brain (mE18.5). Green: GFAP antibody (GTX108711) diluted at 1:1000. Red: Sox2 antibody [GT1352] (GTX627405) diluted at 1:250.](https://www.genetex.com/upload/website/prouct_img/normal/GTX627405/GTX627405_40851_20150625_IHC_M_w_23061202_903.webp)
![SOX2 antibody [GT1352] detects SOX2 protein at nucleus by immunohistochemical analysis. Sample: Paraffin-embedded mouse E10.5 mouse embryo. Green: Brachyury stained by Brachyury antibody (GTX133714) diluted at 1:250. Red: SOX2, a nucleus marker, stained by SOX2 antibody [GT1352] (GTX627405) diluted at 1:250. Blue: Fluoroshield with DAPI (GTX30920). SOX2 antibody [GT1352] detects SOX2 protein at nucleus by immunohistochemical analysis. Sample: Paraffin-embedded mouse E10.5 mouse embryo. Green: Brachyury stained by Brachyury antibody (GTX133714) diluted at 1:250. Red: SOX2, a nucleus marker, stained by SOX2 antibody [GT1352] (GTX627405) diluted at 1:250. Blue: Fluoroshield with DAPI (GTX30920).](https://www.genetex.com/upload/website/prouct_img/normal/GTX627405/GTX627405_40851_20180109_IHC-P-FL_M_w_23061202_820.webp)
![Non-transfected (–) and transfected (+) NT2D1 whole cell extracts (30 μg) were separated by 10% SDS-PAGE, and the membrane was blotted with SOX2 antibody [GT1352] (GTX627405) diluted at 1:500. The HRP-conjugated anti-mouse IgG antibody (GTX213111-01) was used to detect the primary antibody. Non-transfected (–) and transfected (+) NT2D1 whole cell extracts (30 μg) were separated by 10% SDS-PAGE, and the membrane was blotted with SOX2 antibody [GT1352] (GTX627405) diluted at 1:500. The HRP-conjugated anti-mouse IgG antibody (GTX213111-01) was used to detect the primary antibody.](https://www.genetex.com/upload/website/prouct_img/normal/GTX627405/GTX627405_40851_20170126_WB_shRNA_watermark_w_23061202_858.webp)
![Whole cell extract (30 μg) was separated by 12% SDS-PAGE, and the membranes were blotted with SOX2 antibody [GT1352] (GTX627405) diluted at 1:1000 and competitor's antibody (sc-17320) diluted at 1:500. The HRP-conjugated anti-mouse IgG antibody (GTX213111-01) was used to detect the primary antibody, and the signal was developed with Trident ECL plus-Enhanced. *The competitor is not affiliated with GeneTex and does not endorse this product. Whole cell extract (30 μg) was separated by 12% SDS-PAGE, and the membranes were blotted with SOX2 antibody [GT1352] (GTX627405) diluted at 1:1000 and competitor's antibody (sc-17320) diluted at 1:500. The HRP-conjugated anti-mouse IgG antibody (GTX213111-01) was used to detect the primary antibody, and the signal was developed with Trident ECL plus-Enhanced. *The competitor is not affiliated with GeneTex and does not endorse this product.](https://www.genetex.com/upload/website/prouct_img/normal/GTX627405/GTX627405_40851_20180119_WB_competitor_watermark_w_23061202_457.webp)
![SOX2 antibody [GT1352] detects SOX2 protein by western blot analysis. A. 30 μg mouse ESC whole cell lysate/extract 10% SDS-PAGE SOX2 antibody [GT1352] (GTX627405) dilution: 1:1000 The HRP-conjugated anti-mouse IgG antibody (GTX213111-01) was used to detect the primary antibody. SOX2 antibody [GT1352] detects SOX2 protein by western blot analysis. A. 30 μg mouse ESC whole cell lysate/extract 10% SDS-PAGE SOX2 antibody [GT1352] (GTX627405) dilution: 1:1000 The HRP-conjugated anti-mouse IgG antibody (GTX213111-01) was used to detect the primary antibody.](https://www.genetex.com/upload/website/prouct_img/normal/GTX627405/GTX627405_40851_WB_mESC_w_23061202_777.webp)
![SOX2 antibody [GT1352] detects SOX2 protein by flow cytomertry analysis. Sample: Human embryonic stem cells Black: Isotype control dilution: 1:50 Green: SOX2 antibody [GT1352] dilution: 1:50 SOX2 antibody [GT1352] detects SOX2 protein by flow cytomertry analysis. Sample: Human embryonic stem cells Black: Isotype control dilution: 1:50 Green: SOX2 antibody [GT1352] dilution: 1:50](https://www.genetex.com/upload/website/prouct_img/normal/GTX627405/GTX627405_40851_CT_FACS_w_23061202_646.webp)
![Whole cell extract (30 μg) was separated by 12% SDS-PAGE, and the membrane was blotted with SOX2 antibody [GT1352] (GTX627405) diluted at 1:1000. The HRP-conjugated anti-mouse IgG antibody (GTX213111-01) was used to detect the primary antibody. Whole cell extract (30 μg) was separated by 12% SDS-PAGE, and the membrane was blotted with SOX2 antibody [GT1352] (GTX627405) diluted at 1:1000. The HRP-conjugated anti-mouse IgG antibody (GTX213111-01) was used to detect the primary antibody.](https://www.genetex.com/upload/website/prouct_img/normal/GTX627405/GTX627405_45154_20230901_WB_24061301_751.webp)




![ICC/IF analysis of NTERA-2 cells using GTX60381 SOX2 antibody [10F10]. Green : SOX2 Red: Actin filaments](https://www.genetex.com/upload/website/prouct_img/normal/GTX60381/GTX60381_20170912_ICCIF_w_23061123_336.webp)

![Zebrafish tissue extract (50 μg) was separated by 12% SDS-PAGE, and the membrane was blotted with SOX2 antibody [HL1192] (GTX636504) diluted at 1:1000. The HRP-conjugated anti-rabbit IgG antibody (GTX213110-01) was used to detect the primary antibody.](https://www.genetex.com/upload/website/prouct_img/normal/GTX636504/GTX636504_44508_20211203_WB_Z_brain_24112018_555.webp)
![Mouse ESC extract (50 μg) was separated by 12% SDS-PAGE, and the membrane was blotted with SOX2 antibody [HL1193] (GTX636505) diluted at 1:1000. The HRP-conjugated anti-rabbit IgG antibody (GTX213110-01) was used to detect the primary antibody.](https://www.genetex.com/upload/website/prouct_img/normal/GTX636505/GTX636505_T-44452_20230324_WB_M_ESC_23073119_588.webp)