
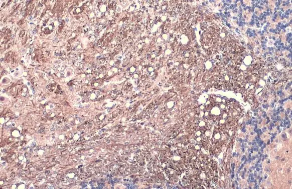
Tau (phospho Thr181) antibody detects Tau (phospho Thr181) protein at cell membrane and cytoplasm by immunohistochemical analysis. Sample: Paraffin-embedded rat brain. Tau (phospho Thr181) stained by Tau (phospho Thr181) antibody (GTX135776) diluted at 1:500. Antigen Retrieval: Citrate buffer, pH 6.0, 15 min
Tau (phospho Thr181) antibody
GTX135776
ApplicationsWestern Blot, ImmunoHistoChemistry, ImmunoHistoChemistry Paraffin
Product group Antibodies
ReactivityHuman, Mouse, Rat
TargetMAPT
Overview
- SupplierGeneTex
- Product NameTau (phospho Thr181) antibody
- Delivery Days Customer9
- Application Supplier NoteWB: 1:500-1:3000. *Optimal dilutions/concentrations should be determined by the researcher.Not tested in other applications.
- ApplicationsWestern Blot, ImmunoHistoChemistry, ImmunoHistoChemistry Paraffin
- CertificationResearch Use Only
- ClonalityPolyclonal
- Concentration0.57 mg/ml
- ConjugateUnconjugated
- Gene ID4137
- Target nameMAPT
- Target descriptionmicrotubule associated protein tau
- Target synonymsDDPAC, FTD1, FTDP-17, MAPTL, MSTD, MTBT1, MTBT2, PPND, PPP1R103, TAU, Tau-PHF6, tau-40, microtubule-associated protein tau, G protein beta1/gamma2 subunit-interacting factor 1, PHF-tau, Tau-derived paired helical filament hexapeptide, neurofibrillary tangle protein, paired helical filament-tau, protein phosphatase 1, regulatory subunit 103
- HostRabbit
- IsotypeIgG
- Protein IDP10636
- Protein NameMicrotubule-associated protein tau
- Scientific DescriptionThis gene encodes the microtubule-associated protein tau (MAPT) whose transcript undergoes complex, regulated alternative splicing, giving rise to several mRNA species. MAPT transcripts are differentially expressed in the nervous system, depending on stage of neuronal maturation and neuron type. MAPT gene mutations have been associated with several neurodegenerative disorders such as Alzheimers disease, Picks disease, frontotemporal dementia, cortico-basal degeneration and progressive supranuclear palsy. [provided by RefSeq, Jul 2008]
- ReactivityHuman, Mouse, Rat
- Storage Instruction-20°C or -80°C,2°C to 8°C
- UNSPSC41116161










