
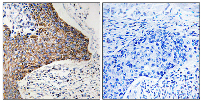
Anti-C1QBP Antibody
A95923
ApplicationsWestern Blot, ELISA, ImmunoHistoChemistry
Product group Antibodies
Overview
- SupplierAntibodies.com
- Product NameAnti-C1QBP Antibody
- Delivery Days Customer7
- ApplicationsWestern Blot, ELISA, ImmunoHistoChemistry
- CertificationResearch Use Only
- ClonalityPolyclonal
- ConjugateUnconjugated
- HostRabbit
- IsotypeIgG
- Scientific DescriptionRabbit polyclonal antibody to C1QBP.
- UNSPSC12352203





![IHC-P analysis of rat kidney tissue section using GTX02847 C1qBP antibody [GT1250]. Dilution : 1:100](https://www.genetex.com/upload/website/prouct_img/normal/GTX02847/A11292_IHC_01_(1069365)_w_23053123_539.webp)

