
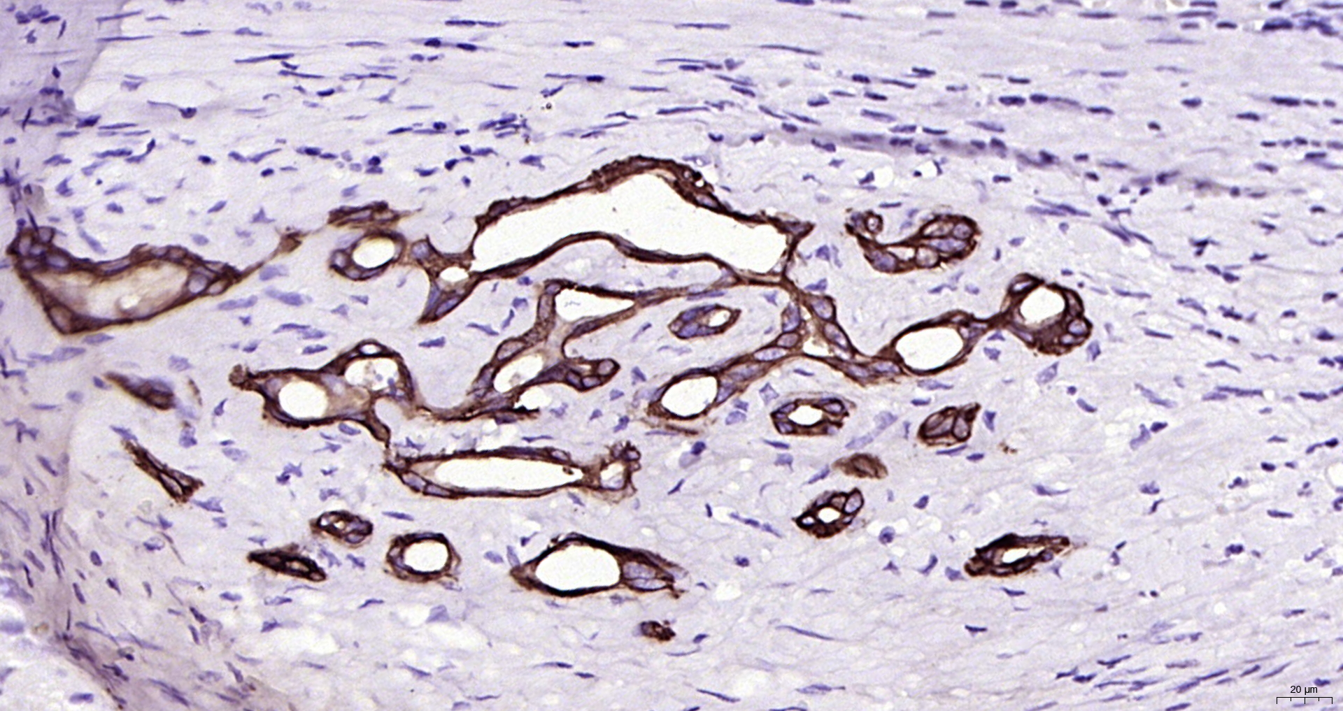
Paraformaldehyde-fixed and paraffin-embedded Human Pancreas tissue incubated with CYP26A1 (11A1) Monoclonal Antibody (bsm-54341R) at 1:100, overnight at 4°C, followed by a conjugated secondary antibody and DAB staining. Counterstained with hematoxylin.
CYP26A1 Recombinant Antibody
BSM-54341R
ApplicationsImmunoFluorescence, Western Blot, ImmunoHistoChemistry, ImmunoHistoChemistry Frozen, ImmunoHistoChemistry Paraffin
Product group Antibodies
ReactivityHuman, Mouse, Rat
TargetCYP26A1
Overview
- SupplierBioss
- Product NameCYP26A1 Recombinant Antibody
- Delivery Days Customer16
- ApplicationsImmunoFluorescence, Western Blot, ImmunoHistoChemistry, ImmunoHistoChemistry Frozen, ImmunoHistoChemistry Paraffin
- Applications SupplierWB(1:300-5000), IHC-P(1:200-400), IHC-F(1:100-500), IF()
- CertificationResearch Use Only
- ClonalityMonoclonal
- ConjugateUnconjugated
- Gene ID1592
- Target nameCYP26A1
- Target descriptioncytochrome P450 family 26 subfamily A member 1
- Target synonymsCP26, CYP26, P450RAI, P450RAI1, cytochrome P450 26A1, P450, retinoic acid-inactivating, 1, cytochrome P450 retinoic acid-inactivating 1, cytochrome P450, family 26, subfamily A, polypeptide 1, cytochrome P450, subfamily XXVIA, polypeptide 1, cytochrome P450RAI, hP450RAI, retinoic acid 4-hydroxylase, retinoic acid-metabolizing cytochrome
- HostRabbit
- IsotypeIgG
- Protein IDO43174
- Protein NameCytochrome P450 26A1
- ReactivityHuman, Mouse, Rat
- Storage Instruction-20°C,2°C to 8°C
- UNSPSC41116161










