
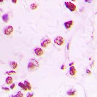
IHC-P analysis of formalin fixed human lung cancer tissue section using GTX56157 EP300 antibody. Antigen retrieval : Heat mediated antigen retrieval with sodium citrate buffer (pH 6.0)
EP300 antibody
GTX56157
ApplicationsWestern Blot, ImmunoHistoChemistry, ImmunoHistoChemistry Paraffin
Product group Antibodies
TargetEP300
Overview
- SupplierGeneTex
- Product NameEP300 antibody
- Delivery Days Customer9
- Application Supplier NoteWB: 1:500 - 1:1000. IHC-P: 1:100 - 1:200. *Optimal dilutions/concentrations should be determined by the researcher.Not tested in other applications.
- ApplicationsWestern Blot, ImmunoHistoChemistry, ImmunoHistoChemistry Paraffin
- CertificationResearch Use Only
- ClonalityPolyclonal
- ConjugateUnconjugated
- Gene ID2033
- Target nameEP300
- Target descriptionEP300 lysine acetyltransferase
- Target synonymsKAT3B, MKHK2, RSTS2, p300, histone acetyltransferase p300, E1A binding protein p300, E1A-associated protein p300, E1A-binding protein, 300kD, histone butyryltransferase p300, histone crotonyltransferase p300, p300 HAT, protein 2-hydroxyisobutyryltransferase p300, protein lactyltransferas p300, protein propionyltransferase p300
- HostRabbit
- IsotypeIgG
- Protein IDQ09472
- Protein NameHistone acetyltransferase p300
- Scientific DescriptionThis gene encodes the adenovirus E1A-associated cellular p300 transcriptional co-activator protein. It functions as histone acetyltransferase that regulates transcription via chromatin remodeling and is important in the processes of cell proliferation and differentiation. It mediates cAMP-gene regulation by binding specifically to phosphorylated CREB protein. This gene has also been identified as a co-activator of HIF1A (hypoxia-inducible factor 1 alpha), and thus plays a role in the stimulation of hypoxia-induced genes such as VEGF. Defects in this gene are a cause of Rubinstein-Taybi syndrome and may also play a role in epithelial cancer. [provided by RefSeq, Jul 2008]
- Storage Instruction-20°C or -80°C,2°C to 8°C
- UNSPSC12352203
References
- MDM2 Degrades Deacetylated Nucleolin Through Ubiquitination to Promote Glioma Stem-Like Cell Enrichment for Chemotherapeutic Resistance. Ko CY et al., 2018 Apr, Mol NeurobiolRead more


![WB analysis of A431 cell lysate using GTX14984 EP300 antibody [3G230].](https://www.genetex.com/upload/website/prouct_img/normal/GTX14984/GTX14984_20191203_WB_48_w_23060620_740.webp)
![WB analysis of HeLa nuclear extract using GTX30614 EP300 antibody [RW128]. Dilution : 1:250](https://www.genetex.com/upload/website/prouct_img/normal/GTX30614/GTX30614_1424_WB_w_23060722_668.webp)
![FACS (Intracellular staining) analysis of RAW264.7 cells using GTX30618 EP300 antibody [RW105]. Blue : Primary antibody Orange : isotype control Dilution : 2 microg/mL Fixation : 4% PFA Permibilization : 0.1% saponin](https://www.genetex.com/upload/website/prouct_img/normal/GTX30618/GTX30618_100_FACS_w_23060722_510.webp)
![WB analysis of HeLa nuclear extract using GTX30619 EP300 antibody [RW109]. Dilution : 1:1000](https://www.genetex.com/upload/website/prouct_img/normal/GTX30619/GTX30619_1431_WB_w_23060722_560.webp)


