
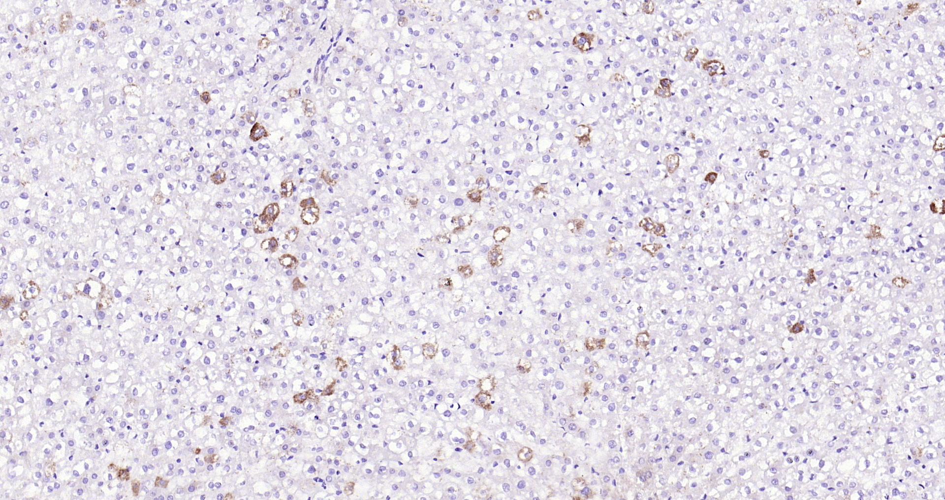
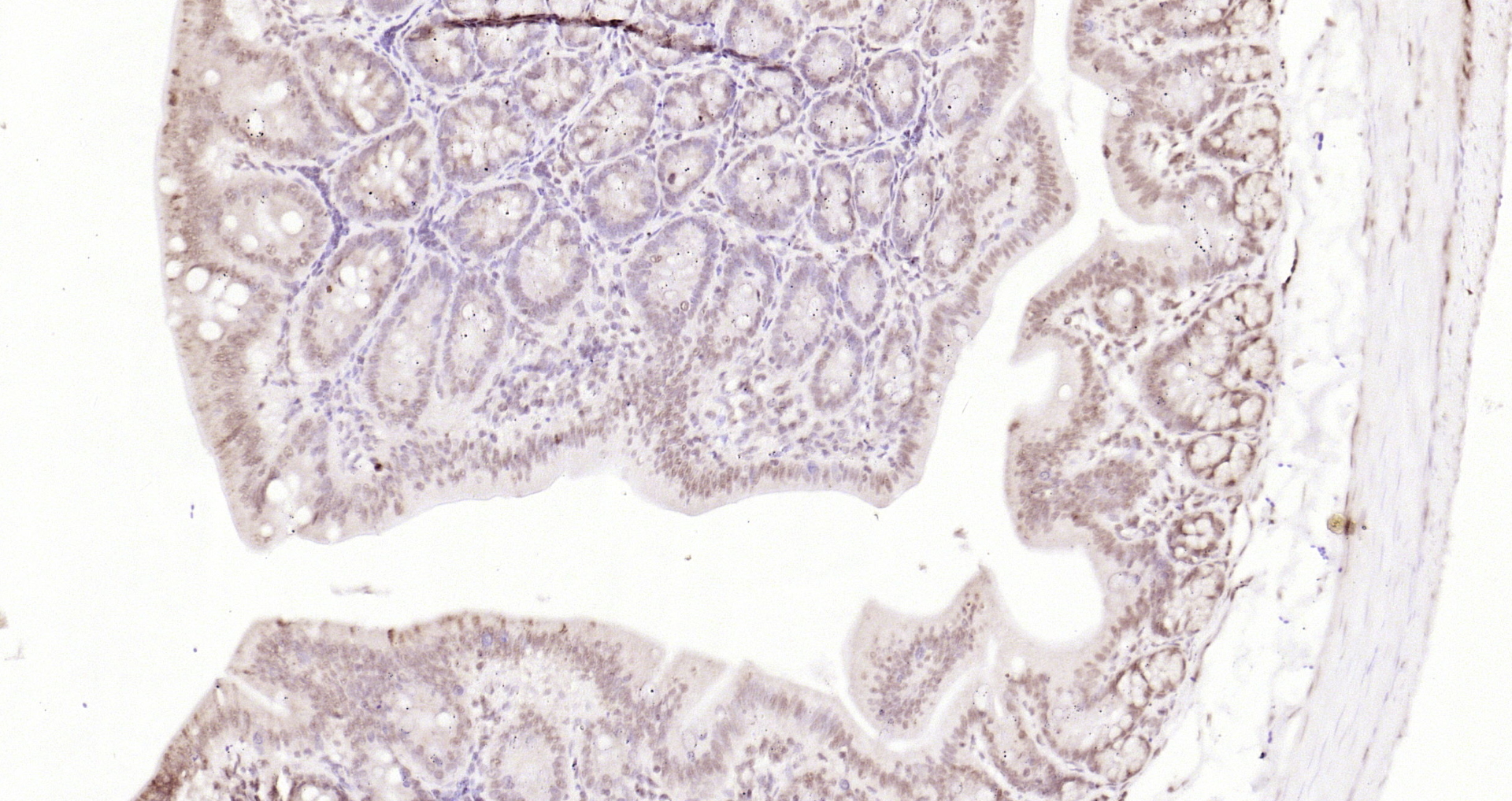
Paraformaldehyde-fixed, paraffin embedded Mouse colon; Antigen retrieval by boiling in sodium citrate buffer (pH6.0) for 15min; Block endogenous peroxidase by 3% hydrogen peroxide for 20 minutes; Blocking buffer (normal goat serum) at 37°C for 30min; Antibody incubation with IKK alpha Polyclonal Antibody, Unconjugated (bs-2907R) at 1:200 overnight at 4°C, DAB staining.
IKK alpha Polyclonal Antibody
BS-2907R
ApplicationsImmunoFluorescence, ELISA, ImmunoCytoChemistry, ImmunoHistoChemistry, ImmunoHistoChemistry Frozen, ImmunoHistoChemistry Paraffin
Product group Antibodies
ReactivityCanine, Equine, Human, Mouse, Rat
TargetCHUK
Overview
- SupplierBioss
- Product NameIKK alpha Polyclonal Antibody
- Delivery Days Customer16
- ApplicationsImmunoFluorescence, ELISA, ImmunoCytoChemistry, ImmunoHistoChemistry, ImmunoHistoChemistry Frozen, ImmunoHistoChemistry Paraffin
- Applications SupplierELISA(1:500-1000), IHC-P(1:200-400), IHC-F(1:100-500), IF(IHC-P)(1:50-200), IF(IHC-F)(1:50-200), IF(ICC)(1:50-200)
- CertificationResearch Use Only
- ClonalityPolyclonal
- Concentration1 ug/ul
- ConjugateUnconjugated
- Gene ID1147
- Target nameCHUK
- Target descriptioncomponent of inhibitor of nuclear factor kappa B kinase complex
- Target synonymsBPS2, IKBKA, IKK-1, IKK-alpha, IKK1, IKKA, NFKBIKA, TCF16, inhibitor of nuclear factor kappa-B kinase subunit alpha, I-kappa-B kinase 1, I-kappa-B kinase-alpha, IKK-a kinase, IkB kinase alpha subunit, Nuclear factor NFkappaB inhibitor kinase alpha, conserved helix-loop-helix ubiquitous kinase, transcription factor 16
- HostRabbit
- IsotypeIgG
- Protein IDO15111
- Protein NameInhibitor of nuclear factor kappa-B kinase subunit alpha
- ReactivityCanine, Equine, Human, Mouse, Rat
- Storage Instruction-20°C
- UNSPSC41116161










