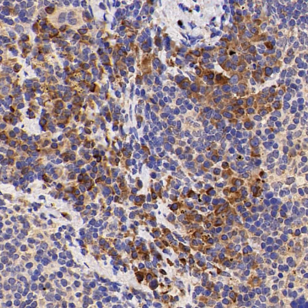
Immunohistochemistry analysis of paraffin-embedded mouse inflammatory spleen using IL2 Polyclonal Antibody at dilution of 1:500.
IL2 Polyclonal Antibody
E-AB-70049
Product group Antibodies
Overview
- SupplierElabscience
- Product NameIL2 Polyclonal Antibody
- Delivery Days Customer12
- CertificationResearch Use Only
- Scientific DescriptionIL2 is a secreted cytokine involved in the operation and regulation of immune system. IL2 plays a pivotal role in T-cell activation and effector functions,including T cell proliferation,interferon-gammaproduction and cytotoxicity. IL2 can stimulate the propagation of lymphocytes and induce the cytotoxic T lymphocytes and lymphokine-activated killer cells for tumor cells. IL2 also influences memory T cell homeostasis through the regulation of memory T cell numbers and enhances major histocompatibility complex II (MHC II) expression on tumor cells.
- UNSPSC12352203






