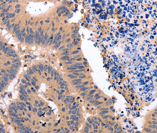
Immunohistochemistry of paraffin-embedded Human colon cancer tissue using Glucocorticoid Receptor Polyclonal Antibody at dilution 1:50
NR3C1 Polyclonal Antibody
E-AB-15695
Product group Antibodies
Overview
- SupplierElabscience
- Product NameNR3C1 Polyclonal Antibody
- Delivery Days Customer12
- Applications SupplierELISA IHC
- CertificationResearch Use Only
- Concentration0.5mg/ml
- Scientific DescriptionThis gene encodes glucocorticoid receptor, which can function both as a transcription factor that binds to glucocorticoid response elements in the promoters of glucocorticoid responsive genes to activate their transcription, and as a regulator of other transcription factors. This receptor is typically found in the cytoplasm, but upon ligand binding, is transported into the nucleus. It is involved in inflammatory responses, cellular proliferation, and differentiation in target tissues. Mutations in this gene are associated with generalized glucocorticoid resistance.
- UNSPSC12352203




