
Sample (30 ug of whole cell lysate) A: Hela B: Hep G2 (GTX27900) 7.5% SDS PAGE GTX102227 diluted at 1:10000
KAP1 antibody [N1N2], N-term
GTX102227
ApplicationsImmunoFluorescence, Western Blot, ImmunoCytoChemistry, ImmunoHistoChemistry, ImmunoHistoChemistry Paraffin
Product group Antibodies
ReactivityHuman, Mouse
TargetTRIM28
Overview
- SupplierGeneTex
- Product NameKAP1 antibody [N1N2], N-term
- Delivery Days Customer9
- Application Supplier NoteWB: 1:1000-1:10000. ICC/IF: 1:100-1:1000. IHC-P: 1:100-1:1000. *Optimal dilutions/concentrations should be determined by the researcher.Not tested in other applications.
- ApplicationsImmunoFluorescence, Western Blot, ImmunoCytoChemistry, ImmunoHistoChemistry, ImmunoHistoChemistry Paraffin
- CertificationResearch Use Only
- ClonalityPolyclonal
- Concentration0.31 mg/ml
- ConjugateUnconjugated
- Gene ID10155
- Target nameTRIM28
- Target descriptiontripartite motif containing 28
- Target synonymsKAP1, PPP1R157, RNF96, TF1B, TIF1B, TIF1beta, WT7, transcription intermediary factor 1-beta, E3 SUMO-protein ligase TRIM28, KAP-1, KRAB [Kruppel-associated box domain]-associated protein 1, KRAB-interacting protein 1, KRIP-1, RING finger protein 96, RING-type E3 ubiquitin transferase TIF1-beta, TIF1-beta, nuclear corepressor KAP-1, protein phosphatase 1, regulatory subunit 157, transcriptional intermediary factor 1-beta
- HostRabbit
- IsotypeIgG
- Protein IDQ13263
- Protein NameTranscription intermediary factor 1-beta
- Scientific DescriptionThe protein encoded by this gene mediates transcriptional control by interaction with the Kruppel-associated box repression domain found in many transcription factors. The protein localizes to the nucleus and is thought to associate with specific chromatin regions. The protein is a member of the tripartite motif family. This tripartite motif includes three zinc-binding domains, a RING, a B-box type 1 and a B-box type 2, and a coiled-coil region. [provided by RefSeq]
- ReactivityHuman, Mouse
- Storage Instruction-20°C or -80°C,2°C to 8°C
- UNSPSC41116161

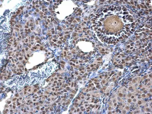
![KAP1 antibody [N1N2], N-term detects KAP1 protein at nucleus on mouse ovary by immunohistochemical analysis. Sample: Paraffin-embedded mouse ovary. KAP1 antibody [N1N2], N-term (GTX102227) diluted at 1:500.
Antigen Retrieval: Trilogy? (EDTA based, pH 8.0) buffer, 15min KAP1 antibody [N1N2], N-term detects KAP1 protein at nucleus on mouse ovary by immunohistochemical analysis. Sample: Paraffin-embedded mouse ovary. KAP1 antibody [N1N2], N-term (GTX102227) diluted at 1:500.
Antigen Retrieval: Trilogy? (EDTA based, pH 8.0) buffer, 15min](https://www.genetex.com/upload/website/prouct_img/normal/GTX102227/GTX102227_39757_20141120_IHC_M_w_23060100_310.webp)

![KAP1 antibody [N1N2], N-term detects KAP1 protein at nucleus on mouse ovary by immunohistochemical analysis. Sample: Paraffin-embedded mouse ovary. KAP1 antibody [N1N2], N-term (GTX102227) diluted at 1:500.
Antigen Retrieval: Trilogy? (EDTA based, pH 8.0) buffer, 15min KAP1 antibody [N1N2], N-term detects KAP1 protein at nucleus on mouse ovary by immunohistochemical analysis. Sample: Paraffin-embedded mouse ovary. KAP1 antibody [N1N2], N-term (GTX102227) diluted at 1:500.
Antigen Retrieval: Trilogy? (EDTA based, pH 8.0) buffer, 15min](https://www.genetex.com/upload/website/prouct_img/normal/GTX102227/GTX102227_39757_20141120_IHC_M_2_w_23060100_887.webp)









![WB analysis of various samples using GTX08968 KAP1 antibody [GT1161]. Dilution : 1:1000 Loading : 25 μg](https://www.genetex.com/upload/website/prouct_img/normal/GTX08968/GTX08968_20200508_WB_w_23053123_747.webp)
