![ME1 antibody [GT979] detects ME1 protein at cytoplasm by immunofluorescent analysis. Sample: HeLa cells were fixed in 4% paraformaldehyde at RT for 15 min. Green: ME1 protein stained by ME1 antibody [GT979] (GTX632189) diluted at 1:400. Blue: Hoechst 33342 staining. ME1 antibody [GT979] detects ME1 protein at cytoplasm by immunofluorescent analysis. Sample: HeLa cells were fixed in 4% paraformaldehyde at RT for 15 min. Green: ME1 protein stained by ME1 antibody [GT979] (GTX632189) diluted at 1:400. Blue: Hoechst 33342 staining.](https://www.genetex.com/upload/website/prouct_img/normal/GTX632189/GTX632189_42037_20150831_IFA_w_23061202_318.webp)
ME1 antibody [GT979] detects ME1 protein at cytoplasm by immunofluorescent analysis. Sample: HeLa cells were fixed in 4% paraformaldehyde at RT for 15 min. Green: ME1 protein stained by ME1 antibody [GT979] (GTX632189) diluted at 1:400. Blue: Hoechst 33342 staining.
ME1 antibody [GT979]
GTX632189
ApplicationsImmunoFluorescence, Western Blot, ImmunoCytoChemistry, ImmunoHistoChemistry, ImmunoHistoChemistry Paraffin
Product group Antibodies
ReactivityHuman, Mouse
TargetME1
Overview
- SupplierGeneTex
- Product NameME1 antibody [GT979]
- Delivery Days Customer9
- Application Supplier NoteWB: 1:500-1:3000. ICC/IF: 1:100-1:1000. IHC-P: 1:100-1:1000. *Optimal dilutions/concentrations should be determined by the researcher.Not tested in other applications.
- ApplicationsImmunoFluorescence, Western Blot, ImmunoCytoChemistry, ImmunoHistoChemistry, ImmunoHistoChemistry Paraffin
- CertificationResearch Use Only
- ClonalityMonoclonal
- Clone IDGT979
- Concentration1 mg/ml
- ConjugateUnconjugated
- Gene ID4199
- Target nameME1
- Target descriptionmalic enzyme 1
- Target synonymsHUMNDME, MES, NADP-dependent malic enzyme, Malic enzyme, cytoplasmic, NADP-ME, malate dehydrogenase (oxaloacetate-decarboxylating) (NADP(+)), malic enzyme 1, NADP(+)-dependent, cytosolic, malic enzyme 1, soluble, pyruvic-malic carboxylase
- HostMouse
- IsotypeIgG1
- Protein IDP48163
- Protein NameNADP-dependent malic enzyme
- Scientific DescriptionThis gene encodes a cytosolic, NADP-dependent enzyme that generates NADPH for fatty acid biosynthesis. The activity of this enzyme, the reversible oxidative decarboxylation of malate, links the glycolytic and citric acid cycles. The regulation of expression for this gene is complex. Increased expression can result from elevated levels of thyroid hormones or by higher proportions of carbohydrates in the diet. [provided by RefSeq]
- ReactivityHuman, Mouse
- Storage Instruction-20°C or -80°C,2°C to 8°C
- UNSPSC41116161
![Non-transfected (–) and transfected (+) HeLa whole cell extracts (30 μg) were separated by 7.5% SDS-PAGE, and the membrane was blotted with ME1 antibody [GT979] (GTX632189) diluted at 1:1000. Non-transfected (–) and transfected (+) HeLa whole cell extracts (30 μg) were separated by 7.5% SDS-PAGE, and the membrane was blotted with ME1 antibody [GT979] (GTX632189) diluted at 1:1000.](https://www.genetex.com/upload/website/prouct_img/normal/GTX632189/GTX632189_42037_20160721_WB_shRNA_watermark_w_23061202_871.webp)

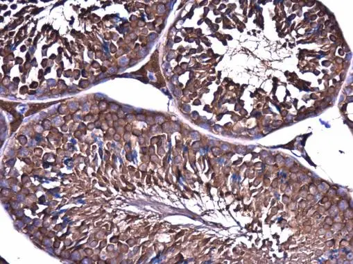
![ME1 antibody [GT979] detects ME1 protein at cytoplasm in mouse testis by immunohistochemical analysis. Sample: Paraffin-embedded mouse testis. ME1 antibody [GT979] (GTX632189) diluted at 1:250.
Antigen Retrieval: Citrate buffer, pH 6.0, 15 min ME1 antibody [GT979] detects ME1 protein at cytoplasm in mouse testis by immunohistochemical analysis. Sample: Paraffin-embedded mouse testis. ME1 antibody [GT979] (GTX632189) diluted at 1:250.
Antigen Retrieval: Citrate buffer, pH 6.0, 15 min](https://www.genetex.com/upload/website/prouct_img/normal/GTX632189/GTX632189_42037_20160803_IHC-P_M_w_23061202_374.webp)





![Non-transfected (–) and transfected (+) HeLa whole cell extracts (30 μg) were separated by 7.5% SDS-PAGE, and the membrane was blotted with ME1 antibody [GT736] (GTX632188) diluted at 1:500.](https://www.genetex.com/upload/website/prouct_img/normal/GTX632188/GTX632188_42037_20160721_WB_shRNA_watermark_w_23061202_936.webp)
![ME1 antibody [GT15611] detects ME1 protein at cytoplasm in mouse liver by immunohistochemical analysis. Sample: Paraffin-embedded mouse liver. ME1 antibody [GT15611] (GTX632190) diluted at 1:500.
Antigen Retrieval: Citrate buffer, pH 6.0, 15 min](https://www.genetex.com/upload/website/prouct_img/normal/GTX632190/GTX632190_42037_20150625_IHC-P_M_2_w_23061202_794.webp)
