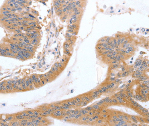
Immunohistochemistry of paraffin-embedded Human colon cancer tissue using TGFA Polyclonal Antibody at dilution 1:60
TGFA Polyclonal Antibody
E-AB-10642
ApplicationsImmunoHistoChemistry
Product group Antibodies
TargetTGFA
Overview
- SupplierElabscience
- Product NameTGFA Polyclonal Antibody
- Delivery Days Customer12
- ApplicationsImmunoHistoChemistry
- Applications SupplierELISA IHC
- CertificationResearch Use Only
- ClonalityPolyclonal
- Concentration0.4 mg/ml
- ConjugateUnconjugated
- Gene ID7039
- Target nameTGFA
- Target descriptiontransforming growth factor alpha
- Target synonymsTFGA, protransforming growth factor alpha, TGF-alpha
- HostRabbit
- IsotypeIgG
- Protein IDP01135
- Protein NameProtransforming growth factor alpha
- Scientific DescriptionThis gene encodes a growth factor that is a ligand for the epidermal growth factor receptor, which activates a signaling pathway for cell proliferation, differentiation and development. This protein may act as either a transmembrane-bound ligand or a soluble ligand. This gene has been associated with many types of cancers, and it may also be involved in some cases of cleft lip/palate. Alternatively spliced transcript variants encoding different isoforms have been found for this gene.
- Storage Instruction-20°C
- UNSPSC41116161






